相关产品推荐更多 >
万千商家帮你免费找货
0 人在求购买到急需产品
- 详细信息
- 文献和实验
- 技术资料
- 免疫原:
Recombinant fusion protein containing a sequence corresponding to amino acids 1-270 of human TAT (NP_000344.1).
- 亚型:
IgG
- 形态:
Liquid
- 保存条件:
Store as concentrated solution. Centrifuge briefly prior to opening vial. For short-term storage (1-2 weeks), store at 4ºC. For long-term storage, aliquot and store at -20ºC or below. Avoid multiple freeze-thaw cycles.
- 克隆性:
Polyclonal
- 标记物:
Unconjugated
- 适应物种:
Human, Mouse, Rat
- 保质期:
12 months from the shipping date of the product.
- 抗原来源:
Human
- 目录编号:
GTX64477
- 级别:
Primary Antibodies
- 库存:
Available
- 供应商:
GeneTex
- 宿主:
Rabbit
- 应用范围:
WB, ICC/IF
- 浓度:
Batch dependent (Please refer to the vial label for the specific concentration.)
- 靶点:
Tyrosine Aminotransferase
- 抗体英文名:
Tyrosine Aminotransferase antibody
- 抗体名:
Tyrosine Aminotransferase 抗体
- 规格:
100 μl
ICC/IF analysis of MCF7 cells using GTX64477 Tyrosine Aminotransferase antibody.
Blue : DAPI
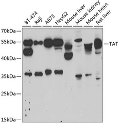
WB analysis of various sample lysates using GTX64477 Tyrosine Aminotransferase antibody.
Dilution : 1:1000
Loading : 25μg per lane
风险提示:丁香通仅作为第三方平台,为商家信息发布提供平台空间。用户咨询产品时请注意保护个人信息及财产安全,合理判断,谨慎选购商品,商家和用户对交易行为负责。对于医疗器械类产品,请先查证核实企业经营资质和医疗器械产品注册证情况。
文献和实验Proteomic Method for Identification of Tyrosine-Nitrated Proteins
Biologic nitration of protein tyrosine (to form 3-nitrotyrosine) is a recently described phenomenon that is associated with many diseases. We have devised a proteomic methodology to identify these modified proteins. This utilizes protein
Single-Cell Method for Estimation of Protein Tyrosine Kinases in the Zebrafish Egg
, the researcher must test the effect of an exogenous molecule such as a dominant-negative fusion protein or a blocking antibody on fertilization and development. Although the zebrafish egg is amendable to microinjection, the number of eggs that can be injected
is the specificity of the antibody-antigen interaction because monoclonal antibodies bind to only one epitope of the antigen. If the antigen of interest is tyrosine phosphorylated, and this tyrosine phosphorylation is under investigation, each step has to be handled
技术资料暂无技术资料 索取技术资料





![KLF4 antibody [1E5]](https://img1.dxycdn.com/2023/0711/451/6106825198874858761-14.jpg!wh200)




