相关产品推荐更多 >
万千商家帮你免费找货
0 人在求购买到急需产品
- 详细信息
- 文献和实验
- 技术资料
- 免疫原:
Recombinant funsion protein containing a sequence corresponding to amino acids 1-260 of human GANAB (NP_001265123.1).
- 亚型:
IgG
- 形态:
Liquid
- 保存条件:
Store as concentrated solution. Centrifuge briefly prior to opening vial. For short-term storage (1-2 weeks), store at 4ºC. For long-term storage, aliquot and store at -20ºC or below. Avoid multiple freeze-thaw cycles.
- 克隆性:
Polyclonal
- 标记物:
Unconjugated
- 适应物种:
Human, Mouse, Rat
- 保质期:
12 months from the shipping date of the product.
- 抗原来源:
Human
- 目录编号:
GTX66218
- 级别:
Primary Antibodies
- 库存:
Available
- 供应商:
GeneTex
- 宿主:
Rabbit
- 应用范围:
WB, ICC/IF, IHC-P
- 浓度:
Batch dependent (Please refer to the vial label for the specific concentration.)
- 靶点:
alpha Glucosidase II
- 抗体英文名:
alpha Glucosidase II antibody
- 抗体名:
alpha Glucosidase II 抗体
- 规格:
100 μl
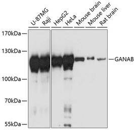
WB analysis of various sample lysates using GTX66218 alpha Glucosidase II antibody.
Dilution : 1:3000
Loading : 25μg per lane
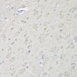
IHC-P analysis of mouse brain tissue using GTX66218 alpha Glucosidase II antibody.
Dilution : 1:150
ICC/IF analysis of C6 cells using GTX66218 alpha Glucosidase II antibody.
Blue : DAPI
Dilution : 1:100
IHC-P analysis of rat brain tissue using GTX66218 alpha Glucosidase II antibody.
Dilution : 1:150
ICC/IF analysis of NIH/3T3 cells using GTX66218 alpha Glucosidase II antibody.
Blue : DAPI
Dilution : 1:100
ICC/IF analysis of U2OS cells using GTX66218 alpha Glucosidase II antibody.
Blue : DAPI
Dilution : 1:100
风险提示:丁香通仅作为第三方平台,为商家信息发布提供平台空间。用户咨询产品时请注意保护个人信息及财产安全,合理判断,谨慎选购商品,商家和用户对交易行为负责。对于医疗器械类产品,请先查证核实企业经营资质和医疗器械产品注册证情况。
文献和实验Assembly of Matched Alpha/Beta Subunits to HLA Class II Peptide Receptors
Human antigen presenting cells express three human leukocyte antigen (HLA) class II isotypes (DR, DP, and DQ), which are composed of polymorphic α and β subunits. The combination of polymorphic α- and β-chains results in cis (encoded
In situ hybridisation to alpha satellite sequences (chromosome specific)
Alpha satellite sequences, whilst highly repetitive, are specific to each individual chromosome. These sequences flank the centromeres and can present a target measured in megabases. In this protocol a biotin or digoxigenin labelled DNA
The enzyme-linked immunosorbent assay (ELISA) is a widely used technique for detecting antibodies (Abs) and is employed in clinical laboratories to identify Abs against various self-antigens–autoAb development and quantitation. This method
技术资料暂无技术资料 索取技术资料






![BOLL antibody [N2C3]](https://img1.dxycdn.com/2023/0711/255/2344116916935858761-14.jpg!wh200)

![BCL6 antibody [LN22]](https://img1.dxycdn.com/2023/0711/451/6106825198874858761-14.jpg!wh200)

