相关产品推荐更多 >
万千商家帮你免费找货
0 人在求购买到急需产品
- 详细信息
- 文献和实验
- 技术资料
- 免疫原:
Recombinant fusion protein containing a sequence corresponding to amino acids 1-232 of human AK2 (NP_001616.1).
- 亚型:
IgG
- 形态:
Liquid
- 保存条件:
Store as concentrated solution. Centrifuge briefly prior to opening vial. For short-term storage (1-2 weeks), store at 4ºC. For long-term storage, aliquot and store at -20ºC or below. Avoid multiple freeze-thaw cycles.
- 克隆性:
Polyclonal
- 标记物:
Unconjugated
- 适应物种:
Human, Mouse, Rat
- 保质期:
12 months from the shipping date of the product.
- 抗原来源:
Human
- 目录编号:
GTX55493
- 级别:
Primary Antibodies
- 库存:
Available
- 供应商:
GeneTex
- 宿主:
Rabbit
- 应用范围:
WB, IHC-P
- 浓度:
Batch dependent (Please refer to the vial label for the specific concentration.)
- 靶点:
Adenylate kinase 2
- 抗体英文名:
Adenylate kinase 2 antibody
- 抗体名:
Adenylate kinase 2 抗体
- 规格:
100 μl
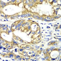
IHC-P analysis of human gastric cancer tissue using GTX55493 Adenylate kinase 2 antibody.
Dilution : 1:100
WB analysis of normal (control) and knockout (KO) 293T cell lysate using GTX55493 Adenylate kinase 2 antibody.
Dilution : 1:1000
Loading : 25μg per lane
WB analysis of various sample lysates using GTX55493 Adenylate kinase 2 antibody.
Dilution : 1:1000
Loading : 25μg per lane
风险提示:丁香通仅作为第三方平台,为商家信息发布提供平台空间。用户咨询产品时请注意保护个人信息及财产安全,合理判断,谨慎选购商品,商家和用户对交易行为负责。对于医疗器械类产品,请先查证核实企业经营资质和医疗器械产品注册证情况。
文献和实验腺苷酸激酶 adenylate kinase 催化腺苷三磷酸( ATP)使腺苷酸( AMP)磷酸化而生成腺苷二磷酸( ADP)反应的酶, EC 2. 7. 4. 3.逆反应由 2个分子 ADP生成 ATP和 AMP。 最初为科洛韦克和卡尔查尔( S. P. Colowick andH. M. Kalckar, 1943)在肌肉中发现,称为肌激酶。已知在肝脏、肾脏、微生物中都存在。脱氧腺苷酸也可以作为底物。此酶特别稳定
Antibody Techniques Used in the Study of Anaplastic Lymphoma Kinase-Positive ALCL
of leukemia and lymphoma pathology. The use of antibodies specific for anaplastic lymphoma kinase (ALK) protein has permitted the identification of the tumor entity ALK-positive from the poorly defined morphological category of anaplastic large cell lymphoma
PROTOCOL To 1.5 mL eppendorf tubes add: 200 µg of protein extract (see Western blot protocol for protein sample preps) q.s. to 300 µL with RIPA (with protease and phosphatase inhibitors). Primary antibody (amount determined
技术资料暂无技术资料 索取技术资料






![CD147 antibody [N2C3]](https://img1.dxycdn.com/2023/0516/895/8887749495766728561-14.jpg!wh200)
![TIMP2 antibody [SPM356]](https://img1.dxycdn.com/2023/0711/451/6106825198874858761-14.jpg!wh200)

