相关产品推荐更多 >
万千商家帮你免费找货
0 人在求购买到急需产品
- 详细信息
- 文献和实验
- 技术资料
- 免疫原:
KLH conjugated synthetic peptide derived from human CD142 (32-100aa).
- 亚型:
IgG
- 形态:
Liquid
- 保存条件:
Store as concentrated solution. Centrifuge briefly prior to opening vial. For short-term storage (1-2 weeks), store at 4ºC. For long-term storage, aliquot and store at -20ºC or below. Avoid multiple freeze-thaw cycles.
- 克隆性:
Polyclonal
- 标记物:
Unconjugated
- 适应物种:
Mouse, Rat, Pig
- 保质期:
12 months from the shipping date of the product.
- 抗原来源:
Human
- 目录编号:
GTX04324
- 级别:
Primary Antibodies
- 库存:
Available
- 供应商:
GeneTex
- 宿主:
Rabbit
- 应用范围:
WB, ICC/IF, IHC-P, IHC-Fr, FACS
- 浓度:
1 mg/ml(Please refer to the vial label for the specific concentration.)
- 靶点:
Coagulation factor III/Tissue Factor
- 抗体英文名:
Coagulation factor III/Tissue Factor antibody
- 抗体名:
Coagulation factor III/Tissue Factor 抗体
- 规格:
100μl
WB analysis of various sample lysates using GTX04324 Coagulation factor III/Tissue Factor antibody.
Lane 1: rat brain
Lane 2: rat liver
Dilution : 1:200
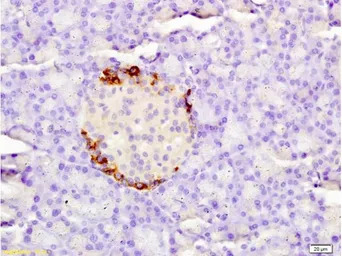
IHC-P analysis of rat pancreas tissue using GTX04324 Coagulation factor III/Tissue Factor antibody.
Dilution : 1:200
风险提示:丁香通仅作为第三方平台,为商家信息发布提供平台空间。用户咨询产品时请注意保护个人信息及财产安全,合理判断,谨慎选购商品,商家和用户对交易行为负责。对于医疗器械类产品,请先查证核实企业经营资质和医疗器械产品注册证情况。
文献和实验Use of Human Hepatocytes to Investigate Blood Coagulation Factor
Coagulation is the complex process by which activation of plasmatic haemostasis proteins ends up with the generation of fibrin. Most of the plasma coagulation proteins are synthesized in hepatocytes. The aim of this chapter
血液凝固因子 blood coagulation factor
血液凝固因子 blood coagulation factor 指直接参与血液凝固机制的各种因子,亦称血凝因子或血浆凝固因子。自 P. Morawitz( 1903)研究凝血活素以后,由于研究的进步,各种因子相继发现,为避免命名混乱,成立了国际血凝因子名称审定委员会。该委员会提议对一般已承认的血凝因子附以罗马数字来统一命名。继 1954年后,在 1959年第四次委员会上制定了如下页表所示名称。这里第Ⅺ因子和第Ⅻ因子,亦称接触因子( con- tact factor)。
Serine proteases play an important role in the process of thrombogenesis. In the coagulation network, various serine proteases are activated that facilitate the formation of factor Xa (1 ). The serine protease factor Xa has a central role
技术资料暂无技术资料 索取技术资料








