相关产品推荐更多 >
万千商家帮你免费找货
0 人在求购买到急需产品
- 详细信息
- 技术资料
- 免疫原:
Prokaryotic recombinant protein corresponding to a region which spans the tyrosine kinase catalytic domain and part of the C-terminus of the NPM-ALK transcript (419-520 amino acids).
- 亚型:
IgG1
- 形态:
Liquid
- 保存条件:
Store as concentrated solution. Centrifuge briefly prior to opening vial. Store at 4ºC. DO NOT FREEZE.
- 克隆性:
Monoclonal
- 标记物:
Unconjugated
- 适应物种:
Human
- 保质期:
12 months from the shipping date of the product.
- 抗原来源:
Human
- 目录编号:
GTX01967
- 级别:
Primary Antibodies
- 库存:
Available
- 供应商:
GeneTex
- 宿主:
Mouse
- 应用范围:
IHC-P
- 浓度:
Batch dependent (Please refer to the vial label for the specific concentration.)
- 靶点:
Nucleophosmin
- 抗体英文名:
Nucleophosmin antibody [5A4]
- 抗体名:
Nucleophosmin 抗体 [5A4]
- 规格:
500 μl
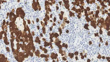
IHC-P analysis of anaplastic large cell lymphoma using GTX01967 Nucleophosmin antibody [5A4]. Note the strong nuclear and cytoplasmic staining in the neoplastic cells.
风险提示:丁香通仅作为第三方平台,为商家信息发布提供平台空间。用户咨询产品时请注意保护个人信息及财产安全,合理判断,谨慎选购商品,商家和用户对交易行为负责。对于医疗器械类产品,请先查证核实企业经营资质和医疗器械产品注册证情况。
技术资料暂无技术资料 索取技术资料


![Nucleophosmin antibody [5A4]](https://img1.dxycdn.com/2023/0711/451/6106825198874858761-14.jpg)


![ATXN2 antibody [HL1902]](https://img1.dxycdn.com/2023/0711/058/8406876405285858761-14.jpg!wh200)
![MYLK2 antibody [N3C3-2]](https://img1.dxycdn.com/2023/0516/050/2572066211091928561-14.jpg!wh200)

![CXCL11 antibody [9N26]](https://img1.dxycdn.com/2023/0711/451/6106825198874858761-14.jpg!wh200)
