相关产品推荐更多 >
万千商家帮你免费找货
0 人在求购买到急需产品
- 详细信息
- 文献和实验
- 技术资料
- 免疫原:
Recombinant full-length human Thyroglobulin protein
- 亚型:
IgG
- 形态:
Liquid
- 保存条件:
Store as concentrated solution. Centrifuge briefly prior to opening vial. Store at 4ºC.
- 克隆性:
Monoclonal
- 标记物:
Unconjugated
- 适应物种:
Human
- 保质期:
12 months from the shipping date of the product.
- 抗原来源:
Human
- 目录编号:
GTX02720
- 级别:
Primary Antibodies
- 库存:
Available
- 供应商:
GeneTex
- 宿主:
Rabbit
- 应用范围:
IHC-P
- 浓度:
200 μg/ml (Please refer to the vial label for the specific concentration.)
- 靶点:
We do not recommend use of this product for Mouse,Rat.
- 抗体英文名:
Thyroglobulin antibody [TGB/1970R]
- 抗体名:
Thyroglobulin 抗体 [TGB/1970R]
- 规格:
100 μg
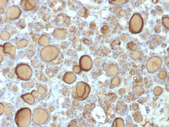
IHC-P analysis of human thyroid tissue section using GTX02720 Thyroglobulin antibody [TGB/1970R].
风险提示:丁香通仅作为第三方平台,为商家信息发布提供平台空间。用户咨询产品时请注意保护个人信息及财产安全,合理判断,谨慎选购商品,商家和用户对交易行为负责。对于医疗器械类产品,请先查证核实企业经营资质和医疗器械产品注册证情况。
文献和实验Methods of Measuring Thyroglobulin and Peptide-Methylcoumarinamide Hydrolysis by Autoantibodies
Polyclonal antibodies often serve as the starting point for interesting studies of new antibody functions and their links with immunoregulation and autoimmune disease. For example, the catalytic activity of naturally formed antibodies
Isolation of Anti-Hapten Specific Antibody Fragments from Combinatorial Libraries
system unless presented as an epitope conjugated to a suitable immunogenic carrier protein, such as bovine thyroglobulin. The principal interest in anti-hapten Abs is as detection molecules for use in diagnostic assays. These typically use dipstick (qualitative
DETECTION OF ß-GALACTOSIDASE AND ALKALINE PHOSPHATASE ACTIVITIES IN TISSUE
transgenic zebrafish can be detected in living embryos. Dev. Biol. 161 :77. Lojda, Z. 1970. Indigogenic methods for glycosidases. Histochemie 22 :347. McCaman, R.E., and E. Robins. 1959. Quantitative biochemical studies of Wallerian
技术资料暂无技术资料 索取技术资料





![STAT5A (phospho Tyr694) antibody [GT1208]](https://img1.dxycdn.com/2023/0711/451/6106825198874858761-14.jpg!wh200)



