相关产品推荐更多 >
万千商家帮你免费找货
0 人在求购买到急需产品
- 详细信息
- 文献和实验
- 技术资料
- 免疫原:
Recombinant full-length human CD59 protein
- 亚型:
IgM
- 形态:
Liquid
- 保存条件:
Store as concentrated solution. Centrifuge briefly prior to opening vial. For short-term storage (1-2 weeks), store at 4ºC. For long-term storage, aliquot and store at -20ºC or below. Avoid multiple freeze-thaw cycles.
- 克隆性:
Monoclonal
- 标记物:
Unconjugated
- 适应物种:
Human
- 保质期:
12 months from the shipping date of the product.
- 抗原来源:
Human
- 目录编号:
GTX34534
- 级别:
Primary Antibodies
- 库存:
Available
- 供应商:
GeneTex
- 宿主:
Mouse
- 应用范围:
IHC-P
- 浓度:
0.2 mg/ml (Please refer to the vial label for the specific concentration.)
- 靶点:
We do not recommend use of this product for Baboon,Horse.
- 抗体英文名:
CD59 antibody [MACIF/1193]
- 抗体名:
CD59 抗体 [MACIF/1193]
- 规格:
100 μg
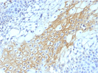
IHC-P analysis of human tongue tissue using GTX34534 CD59 antibody [MACIF/1193].
风险提示:丁香通仅作为第三方平台,为商家信息发布提供平台空间。用户咨询产品时请注意保护个人信息及财产安全,合理判断,谨慎选购商品,商家和用户对交易行为负责。对于医疗器械类产品,请先查证核实企业经营资质和医疗器械产品注册证情况。
文献和实验Protocol for vacuum-infiltration transformation of Arabidopsis thaliana
the herbicide solution on the plantlets. Efficient recovery was achieved using the following protocol : seeds (up to 1 g : approximately 50,000 seeds) are mixed with 4-5 volumes of fine sand and sown on 30 cm X 30 cm trays containing medium sand. The trays
,2F12;CRIS-3 Leu LFA-1(gp180/95)的α链 与ICAM-1(CD54)和ICAM-2(CD102)结合 CD11b Mol,OKM1; (Mac-1,CR3,integrin αm G,M,NK gp165/95的α链 C3bi和FB受体,与ICAM-1结合,粘附,调理吞噬 CD11c LeuM5;(CR4,integrin αx) M,G,NK,Tsub gp150/95的α链 C3bi受体,调理吞噬
a subset of genomic DNA sequences of type 5'-(NNN )3 -3', whereas the 6ZF library would recognize a subset of genomic sequences of type 5'-(NNN )6 -3'. Given the zinc-finger domains used, both libraries were more likely to recognize (RNN)x -type sequences
技术资料暂无技术资料 索取技术资料









