相关产品推荐更多 >
万千商家帮你免费找货
0 人在求购买到急需产品
- 详细信息
- 文献和实验
- 技术资料
- 免疫原:
Recombinant full-length hFSH beta sub-unit
- 亚型:
IgG1
- 形态:
Liquid
- 保存条件:
Store as concentrated solution. Centrifuge briefly prior to opening vial. For short-term storage (1-2 weeks), store at 4ºC. For long-term storage, aliquot and store at -20ºC or below. Avoid multiple freeze-thaw cycles.
- 克隆性:
Monoclonal
- 标记物:
Unconjugated
- 适应物种:
Human
- 保质期:
12 months from the shipping date of the product.
- 目录编号:
GTX34743
- 级别:
Primary Antibodies
- 库存:
Available
- 供应商:
GeneTex
- 宿主:
Mouse
- 应用范围:
IHC-P
- 浓度:
0.2 mg/ml (Please refer to the vial label for the specific concentration.)
- 靶点:
This MAb reacts with a protein of 22kDa, identified as beta sub-unit of FSH. It does not cross react with the alpha sub-unit.
- 抗体英文名:
FSH beta antibody [FSHb/1062]
- 抗体名:
FSH beta 抗体 [FSHb/1062]
- 规格:
100 μg
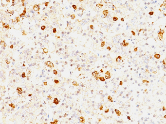
IHC-P analysis of human pituitary tissue using GTX34743 FSH beta antibody [FSHb/1062].
风险提示:丁香通仅作为第三方平台,为商家信息发布提供平台空间。用户咨询产品时请注意保护个人信息及财产安全,合理判断,谨慎选购商品,商家和用户对交易行为负责。对于医疗器械类产品,请先查证核实企业经营资质和医疗器械产品注册证情况。
文献和实验Anticardiolipin Antibody and Anti-beta 2 Glycoprotein I Antibody Assays
) antibodies and anti-beta 2 glycoprotein I (β2-GPI) antibodies. Other autoantibodies, such as those directed against anionic phospholipids, can also be assayed; however they are not of clinical significance. Participation in a quality assurance
真爱满行囊 我最近在体外细胞做的关于gsk3-beta功能问题,发现药物处理以后,gsk-3-beta的总表达量下调,如果是这样的话 1、我是否能够得出gsk-3-beta的活性下调的结论? 2、是否还有必要做非活性形式的表达量?我的理解是,基础状态下,gsk-3beta维持的是低活性状态,如果总量都下调了,那应该能够得出活性降低的结论了吧? 3、另外,在这种情况下我是否有必要去做gsk-3-beta的216位点的活性形式的表达
。 如果beta-catenin抗体不好使,或者EGFP太大影响定位的话,还可以构建Flag标签类载体,转染细胞,加入药物,用抗Flag抗体免疫荧光检测,荧光显微镜下观察就好了。 wangjh28 但按照事先的推测,处理了以后会下调该基因的表达 我觉得科学不能有事先的推测的结果,这样容易受思维定势的影响,而忽略了新发现 dongreyuan 我打算用SAB的β-catenin(Ab-37)Antibody,说明
技术资料暂无技术资料 索取技术资料





![PHF1 antibody [N1N3]](https://img1.dxycdn.com/2023/0516/045/6925717576889828561-14.jpg!wh200)

![CRMP5 antibody [CR-3]](https://img1.dxycdn.com/2023/0711/451/6106825198874858761-14.jpg!wh200)

![GAL3ST1 antibody [N1C3]](https://img1.dxycdn.com/2023/0516/895/8887749495766728561-14.jpg!wh200)

