相关产品推荐更多 >
万千商家帮你免费找货
0 人在求购买到急需产品
- 详细信息
- 文献和实验
- 技术资料
- 免疫原:
Recombinant human vWF fragment
- 亚型:
IgG1
- 形态:
Liquid
- 保存条件:
Store as concentrated solution. Centrifuge briefly prior to opening vial. For short-term storage (1-2 weeks), store at 4ºC. For long-term storage, aliquot and store at -20ºC or below. Avoid multiple freeze-thaw cycles.
- 克隆性:
Monoclonal
- 标记物:
Unconjugated
- 适应物种:
Human
- 保质期:
12 months from the shipping date of the product.
- 抗原来源:
Human
- 目录编号:
GTX35167
- 级别:
Primary Antibodies
- 库存:
Available
- 供应商:
GeneTex
- 宿主:
Mouse
- 应用范围:
IHC-P
- 浓度:
0.2 mg/ml (Please refer to the vial label for the specific concentration.)
- 靶点:
VWF
- 抗体英文名:
VWF antibody [SPM577]
- 抗体名:
VWF 抗体 [SPM577]
- 规格:
100 μg
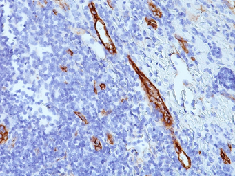
IHC-P analysis of human tonsil tissue using GTX35167 VWF antibody [SPM577].
风险提示:丁香通仅作为第三方平台,为商家信息发布提供平台空间。用户咨询产品时请注意保护个人信息及财产安全,合理判断,谨慎选购商品,商家和用户对交易行为负责。对于医疗器械类产品,请先查证核实企业经营资质和医疗器械产品注册证情况。
文献和实验上海西唐生物科技有限公司 021-55229872, 65333639 www.westang.com 大鼠血管性血友病因子 (VWF)ELISA 试剂盒 ( 用于血清、血浆、细胞培养上清液和其它生物体液内 ) 原理 本实验采用双抗体夹心 ABC-ELISA 法。用抗大鼠 VWF 单抗包被于酶标板上,标准品和样品中的 VWF 与单抗结合,加入生物素化的抗大鼠 VWF ,形成免疫复合物连接在板上,辣根
上海西唐生物科技有限公司 021-55229872, 65333639 www.westang.com 小鼠血管性血友病因子 ( VWF )ELISA 试剂盒 ( 用于血清、血浆、细胞培养上清液和其它生物体液内 ) 原理 本实验采用双抗体夹心 ABC-ELISA 法。用抗小鼠 VWF 单抗包被于酶标板上,标准品和样品中的 VWF与单抗结合,加入生物素化的抗小鼠
睡眠不足,免疫遭罪!最新 Cell 子刊:睡眠小于 6 小时,影响免疫应答,降低疫苗保护效果
效果这一问题也亟待解决。 2023 年 3 月 14 日,来自里昂第一大学的研究团队在 Current Biology 杂志发表了题为 A meta-analysis of the associations between insufficient sleep duration and antibody response to vaccination 文章,通过荟萃分析,研究人员探索了睡眠时间对接种疫苗免疫效果的影响。研究人员发现,在接种疫苗前后的日子里,每晚睡眠不足 6 小时与抗体应答的大幅
技术资料暂无技术资料 索取技术资料





![GADD45G antibody [C1C3]](https://img1.dxycdn.com/2023/0711/255/2344116916935858761-14.jpg!wh200)


