相关产品推荐更多 >
万千商家帮你免费找货
0 人在求购买到急需产品
- 详细信息
- 文献和实验
- 技术资料
- 免疫原:
Recombinant Human Cadherin-17 / LI-cadherin / CDH17 protein
- 亚型:
IgG2b
- 形态:
Liquid
- 保存条件:
Store as concentrated solution. Centrifuge briefly prior to opening vial. For short-term storage (1-2 weeks), store at 4ºC. For long-term storage, aliquot and store at -20ºC or below. Avoid multiple freeze-thaw cycles.
- 克隆性:
Monoclonal
- 标记物:
Unconjugated
- 适应物种:
Human
- 保质期:
12 months from the shipping date of the product.
- 抗原来源:
Human
- 目录编号:
GTX02064
- 级别:
Primary Antibodies
- 库存:
Available
- 供应商:
GeneTex
- 宿主:
Mouse
- 应用范围:
IHC-P
- 浓度:
Batch dependent (Please refer to the vial label for the specific concentration.)
- 靶点:
No cross-reactivity with human Cad5 protein, human Cad8 protein, and human E-cad protein in ELISA assay.
- 抗体英文名:
LI-Cadherin antibody [05]
- 抗体名:
LI-Cadherin 抗体 [05]
- 规格:
100 μl
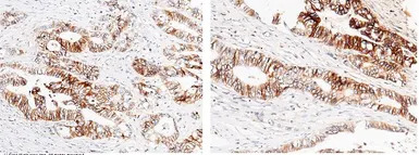
IHC-P analysis of human rectal carcinoma (from 2 donors) tissue section using GTX02064 LI-Cadherin antibody [05].
Dilution : 1:60
IHC-P analysis of human appendix tissue section using GTX02064 LI-Cadherin antibody [05].
Dilution : 1:60
风险提示:丁香通仅作为第三方平台,为商家信息发布提供平台空间。用户咨询产品时请注意保护个人信息及财产安全,合理判断,谨慎选购商品,商家和用户对交易行为负责。对于医疗器械类产品,请先查证核实企业经营资质和医疗器械产品注册证情况。
文献和实验to 0.05, and zymolyase (100T) to 60 ug/ml. Incubate 1 hour at 37oC. Pellet spheroplasts as above. Resuspend in 10 mls Solution A and pellet again. Combine the suspension of whole cells with the spheroplasts and pellet as above. Resuspend in 10
Conjugation of Antibody to HRP
Reagents and Materials PBS PBS: 0.05M EDTA PBS: 0.01 thimerosal Conjugate Storage Buffer SATA DMF Hydroxylamine hydrochloride NaOH Pellets PD10 Column or Sephadex G25 Sulfo-SMCC Preparation of Thiolated
Antibody cleanup In order to decrease the amount of nonspecific staining, it is often necessary to preabsorb primary and secondary antibodies to yeast cells lacking the antigen prior to use. A 1:1 mixture of fixed yeast
技术资料暂无技术资料 索取技术资料






![Ikaros antibody [1A12-F2-D8]](https://img1.dxycdn.com/2023/0711/451/6106825198874858761-14.jpg!wh200)

