相关产品推荐更多 >
万千商家帮你免费找货
0 人在求购买到急需产品
- 详细信息
- 文献和实验
- 技术资料
- 免疫原:
A recombinant fragment (around aa58-187) of human Growth Hormone (GH) protein (exact sequence is proprietary)
- 亚型:
IgG2b
- 形态:
Liquid
- 保存条件:
Store as concentrated solution. Centrifuge briefly prior to opening vial. For short-term storage (1-2 weeks), store at 4ºC. For long-term storage, aliquot and store at -20ºC or below. Avoid multiple freeze-thaw cycles.
- 克隆性:
Monoclonal
- 标记物:
Unconjugated
- 适应物种:
Human
- 保质期:
12 months from the shipping date of the product.
- 抗原来源:
Human
- 目录编号:
GTX34770
- 级别:
Primary Antibodies
- 库存:
Available
- 供应商:
GeneTex
- 宿主:
Mouse
- 应用范围:
ICC/IF, IHC-P, FACS
- 浓度:
0.2 mg/ml (Please refer to the vial label for the specific concentration.)
- 靶点:
Growth Hormone
- 抗体英文名:
Growth Hormone antibody [SPM106]
- 抗体名:
Growth Hormone 抗体 [SPM106]
- 规格:
100 μg
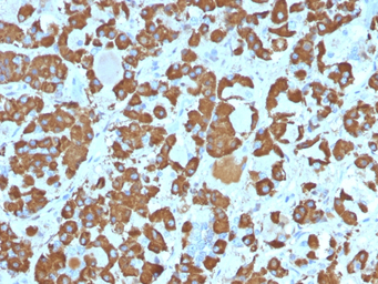
IHC-P analysis of human pituitary tissue using GTX34770 Growth Hormone antibody [SPM106].
风险提示:丁香通仅作为第三方平台,为商家信息发布提供平台空间。用户咨询产品时请注意保护个人信息及财产安全,合理判断,谨慎选购商品,商家和用户对交易行为负责。对于医疗器械类产品,请先查证核实企业经营资质和医疗器械产品注册证情况。
文献和实验RAT/MOUSE GROWTH HORMONE ELISA KIT
polyclonal antibodies, 2) wash away of unbound materials from samples, 3) binding of a second biotinylated anti-Growth Hormone polyclonal antibody to the captured molecules, 4) wash away of unbound materials from samples, 5) conjugation of horseradish
生长素 growth hormone,somatotropichormone,somatottopin
简写STH或GH。脑垂体前叶激素之一。是由前叶特定的细胞(嗜酸性细胞)合成、分泌的。具有促进全身特别是促进长骨生长的作用。但其作用并不相同,随着发生阶段和组织的不同,而有各种变化。为了促进发育完全还需要甲状腺激素的协同作用。如果自小儿期起脑垂体前叶产生生长素的细胞机能异常亢进,则将形成巨人症;如果机能亢进发生在骨端软骨线闭锁以后,则将形成肢端肥大症。生长素能抑制组织中氨基酸的分解,促进氨基酸合成蛋白质,从而使机体的含氮量增加,尿中总氮量减少。生长素的分泌受丘脑下部生长素释放
Phytohormones are low molecular weight compounds that are produced by plants to regulate growth and development and also in response to biotic and abiotic stresses. The quantitative analysis of these molecules, which is essential for a better
技术资料暂无技术资料 索取技术资料





![FRK antibody [5F3]](https://img1.dxycdn.com/2023/0711/451/6106825198874858761-14.jpg!wh200)


