相关产品推荐更多 >
万千商家帮你免费找货
0 人在求购买到急需产品
- 详细信息
- 文献和实验
- 技术资料
- 免疫原:
Synthetic human α-CGRP
- 亚型:
IgG1
- 形态:
Liquid
- 保存条件:
Store as concentrated solution. Centrifuge briefly prior to opening vial. Store at 4ºC.
- 克隆性:
Monoclonal
- 标记物:
Unconjugated
- 适应物种:
Human, Rat
- 保质期:
12 months from the shipping date of the product.
- 抗原来源:
Human
- 目录编号:
GTX49363
- 级别:
Primary Antibodies
- 库存:
Available
- 供应商:
GeneTex
- 宿主:
Mouse
- 应用范围:
IHC-P, ELISA
- 浓度:
Batch dependent (Please refer to the vial label for the specific concentration.)
- 靶点:
This antibody binds human α-CGRP. Based on inhibition ELISA, ABS 026-05 shows full cross-reactivity with rat α-CGRP and about 50% cross-reactivity with human b-CGRP. There is no cross-reaction with human amylin.
- 抗体英文名:
Calcitonin antibody [5]
- 抗体名:
Calcitonin 抗体 [5]
- 规格:
100 μl
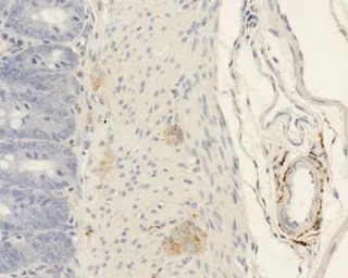
Paraffin embedded rat tissue stained with GTX49363 Anti-α-CGRP diluted 1/400 in 1% BSA/PBS and incubated over night.
风险提示:丁香通仅作为第三方平台,为商家信息发布提供平台空间。用户咨询产品时请注意保护个人信息及财产安全,合理判断,谨慎选购商品,商家和用户对交易行为负责。对于医疗器械类产品,请先查证核实企业经营资质和医疗器械产品注册证情况。
文献和实验上海西唐生物科技有限公司 021-55229872, 65333639 www.westang.com 人降钙素 ( Calcitonin )ELISA 试剂盒 ( 用于血清、血浆、细胞培养上清液和生物体液内 ) 原理 本实验采用双抗体夹心 ABC-ELISA 法。用抗人 Calcitonin 单抗包被于酶标板上,标准品和样品中的 Calcitonin与单抗结合,加入生物
缩写 全称 中文 AA autoantibody 自身抗体 AAF aminoacetylfluorescence 氨乙酰基荧光 Ab antibody 抗体 ABC avidin-biotin peroxidase complex 抗生物素(亲合素)-生物素-过氧化物酶复合物 ACh acetycholine 乙酰胆碱 AChR acetycholine receptor 乙酰胆碱受体 AChRAb acetycholine
by stimulating resorption of calcium and excretion of phosphate and ― by stimulating the conversion of vitamin D to its most active form ― enhances absorption of calcium from the GI tract. Calcitonin, another hormone secreted by the thyroid gland, affects calcium
技术资料暂无技术资料 索取技术资料





![NARS2 antibody [N1C1]](https://img1.dxycdn.com/2023/0516/050/2572066211091928561-14.jpg!wh200)

![MAPKAP Kinase 3 antibody [N2C3]](https://img1.dxycdn.com/2023/0516/895/8887749495766728561-14.jpg!wh200)
![CAT1 antibody [C1C3]](https://custom.dxycdn.com/trademd/upload/pic/2011/12/20/1324015994.jpg!small.t.1)

