相关产品推荐更多 >
万千商家帮你免费找货
0 人在求购买到急需产品
- 详细信息
- 文献和实验
- 技术资料
- 免疫原:
Recombinant full-length human GYPA protein
- 亚型:
IgG
- 形态:
Liquid
- 保存条件:
Store as concentrated solution. Centrifuge briefly prior to opening vial. Store at 4ºC.
- 克隆性:
Monoclonal
- 标记物:
Unconjugated
- 适应物种:
Human
- 保质期:
12 months from the shipping date of the product.
- 抗原来源:
Human
- 目录编号:
GTX02648
- 级别:
Primary Antibodies
- 库存:
Available
- 供应商:
GeneTex
- 宿主:
Rabbit
- 应用范围:
WB, IHC-P
- 浓度:
200 μg/ml (Please refer to the vial label for the specific concentration.)
- 靶点:
Glycophorin A
- 抗体英文名:
Glycophorin A antibody [GYPA/1725R]
- 抗体名:
Glycophorin A 抗体 [GYPA/1725R]
- 规格:
100 μg
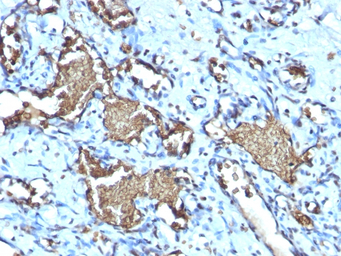
IHC-P analysis of human angiosarcoma section using GTX02648 Glycophorin A antibody [GYPA/1725R].
WB analysis of K562 whole cell lysate using GTX02648 Glycophorin A antibody [GYPA/1725R].
风险提示:丁香通仅作为第三方平台,为商家信息发布提供平台空间。用户咨询产品时请注意保护个人信息及财产安全,合理判断,谨慎选购商品,商家和用户对交易行为负责。对于医疗器械类产品,请先查证核实企业经营资质和医疗器械产品注册证情况。
文献和实验V294.PART II,Chapter 2 Boyden法体外趋化试验
, S. V. (1962) The chemotactic effect of mixtures of antibody and antigenon polymorphonuclear leucocytes. J. Exp. Med. 115, 453–466. 2. Carter, S. B. (1967) Heptotaxis and the mechanism of cell motility. Nature 213,256–260. 3. Reiske, H. R
Native Chromatin Preparation and Illumina/Solexa Library Construction
Antibody and preimmune serum for ChIP CD4+ T cell Isolation Kit II (human) (Miltenyi Biotec) Alternatively, Dynabeads Untouched Human CD4 T Cells Kit (Invitrogen) can be used (see Steps 5-21). DNA End-Repair Kit (Epicentre Biotechnologies
Phage‐Based Expression Cloning to Identify Interacting Proteins
, W., Sellers, W.R., DeCaprio, J.A., Ajchenbaum, F., Fuchs, C.S., Chittenden, T., Li, Y., Farnham, P.J., Blanar, M.A., Livingston, D.M., and Flemington, E.K. 1992. Expression cloning of a cDNA encoding a retinoblastoma‐binding protein with E2F
技术资料暂无技术资料 索取技术资料







![MSRB2 antibody [N1C3]](https://img1.dxycdn.com/2023/0516/045/6925717576889828561-14.jpg!wh200)


