相关产品推荐更多 >
万千商家帮你免费找货
0 人在求购买到急需产品
- 详细信息
- 文献和实验
- 技术资料
- 免疫原:
Human MAGE-A1 full length recombinant protein
- 亚型:
IgG1
- 形态:
Liquid
- 保存条件:
Store as concentrated solution. Centrifuge briefly prior to opening vial. For short-term storage (1-2 weeks), store at 4ºC. For long-term storage, aliquot and store at -20ºC or below. Avoid multiple freeze-thaw cycles.
- 克隆性:
Monoclonal
- 标记物:
Unconjugated
- 适应物种:
Human, Rat, Dog
- 保质期:
12 months from the shipping date of the product.
- 抗原来源:
Human
- 目录编号:
GTX34810
- 级别:
Primary Antibodies
- 库存:
Available
- 供应商:
GeneTex
- 宿主:
Mouse
- 应用范围:
ICC/IF, IHC-P, FACS
- 浓度:
0.2 mg/ml (Please refer to the vial label for the specific concentration.)
- 靶点:
This MAb does not cross-react with MAGE-2, -3, -4, -6 -9, -10, -or -12 protein.
- 抗体英文名:
MAGE 1 antibody [SPM282]
- 抗体名:
MAGE 1 抗体 [SPM282]
- 规格:
100 μg
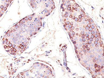
IHC-P analysis of human testis tissue using GTX34810 MAGE 1 antibody [SPM282].
风险提示:丁香通仅作为第三方平台,为商家信息发布提供平台空间。用户咨询产品时请注意保护个人信息及财产安全,合理判断,谨慎选购商品,商家和用户对交易行为负责。对于医疗器械类产品,请先查证核实企业经营资质和医疗器械产品注册证情况。
文献和实验Summary WCE Extracts are prepared from strain SHY282 (TFC4-Flag-EE (HpaI)).TFIIIC complex is first purified by flag affinity: TFC4 contains a single copy of the flag epitope.The flag purified TFIIIC is then further purified by anion exchange
Purification of TFIIIC from yeast
Summary WCE Extracts are prepared from strain SHY282 (TFC4-Flag-EE (HpaI)).TFIIIC complex is first purified by flag affinity: TFC4 contains a single copy of the flag epitope.The flag purified TFIIIC is then further purified by anion exchange
19的蛋白质的T细胞,但这仅在B细胞上适用。虽然消除癌变的细胞的同时也消除健康的B细胞,但副作用相对容易忍受。但要在固体瘤上找到类似的靶很难,因为它比液体肿瘤更不均匀的。“这是一个主要的限制条件,”里巴斯说。“我们很高兴发现CD19,但目前还不清楚下一个靶是什么。” 研究人员挖掘基因表达数据库企图找到最佳候选。但激发免疫反应的特异性蛋白可能很危险:几年前,四例患者死于工程T细胞的一系列试验中,这类T细胞会攻击表达MAGE-A3蛋白质的细胞。这种蛋白质只在胚胎和成人的某些癌
技术资料暂无技术资料 索取技术资料





![Myosin Light Chain 2 (MLC-2v) antibody [AT3B2]](https://img1.dxycdn.com/2023/0711/451/6106825198874858761-14.jpg!wh200)


![ACCN4 antibody [N1N3]](https://img1.dxycdn.com/2023/0516/407/0466332107306928561-14.jpg!wh200)

