相关产品推荐更多 >
万千商家帮你免费找货
0 人在求购买到急需产品
- 详细信息
- 文献和实验
- 技术资料
- 免疫原:
Human myogenin recombinant protein
- 亚型:
IgG1
- 形态:
Liquid
- 保存条件:
Store as concentrated solution. Centrifuge briefly prior to opening vial. For short-term storage (1-2 weeks), store at 4ºC. For long-term storage, aliquot and store at -20ºC or below. Avoid multiple freeze-thaw cycles.
- 克隆性:
Monoclonal
- 标记物:
Unconjugated
- 适应物种:
Human, Mouse, Rat, Cat, Pig
- 保质期:
12 months from the shipping date of the product.
- 抗原来源:
Human
- 目录编号:
GTX34884
- 级别:
Primary Antibodies
- 库存:
Available
- 供应商:
GeneTex
- 宿主:
Mouse
- 应用范围:
IHC-P
- 浓度:
0.2 mg/ml (Please refer to the vial label for the specific concentration.)
- 靶点:
Myogenin
- 抗体英文名:
Myogenin antibody [MGN185]
- 抗体名:
Myogenin 抗体 [MGN185]
- 规格:
100 μg
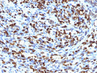
IHC-P analysis of human rhabdomyosarcoma tissue using GTX34884 Myogenin antibody [MGN185].
风险提示:丁香通仅作为第三方平台,为商家信息发布提供平台空间。用户咨询产品时请注意保护个人信息及财产安全,合理判断,谨慎选购商品,商家和用户对交易行为负责。对于医疗器械类产品,请先查证核实企业经营资质和医疗器械产品注册证情况。
文献和实验运用Cell Based Elisa检测信号通路蛋白和磷酸化蛋白
using Phospho-p38 antibody (A) and Total-p38 antibody (B). Cell Based Elisa were performed directly in the 96-well plates using Phospho-p38 and Total-p38 antibodies (C). Figure 3: JNK detection with FACECells were serum-starved for 16 hours
poisoning monitoring in shellfish and seawater,and for mammalian exposure diagnostics, and significantly reduces the time required for analyses.Key words: antibody, brevetoxin, detection, ELISA, immunoassay, neurotoxic shellfish poisoning,PbTx, seawater
【分享】Methods in Molecular Medicine and biology的几本好书
Methods.pdf Vol.177 - TWO-HYBRID SYSTEMS.pdf Vol.178 - Antibody Phage Display - Methods & Protocols.pdf Vol.181 - Genomic Imprinting.pdf Vol.184 - Biostatistical Methods.djvu Vol.185 - Embryonic Stem Cells.pdf Vol.190 - High Throughput Screening.pdf
技术资料暂无技术资料 索取技术资料







![HAUS2 antibody [N1C3-2]](https://img1.dxycdn.com/2023/0516/407/0466332107306928561-14.jpg!wh200)

