相关产品推荐更多 >
万千商家帮你免费找货
0 人在求购买到急需产品
- 详细信息
- 文献和实验
- 技术资料
- 免疫原:
Human thymic nuclear extract
- 亚型:
IgM, Kappa
- 形态:
Liquid
- 保存条件:
Store as concentrated solution. Centrifuge briefly prior to opening vial. For short-term storage (1-2 weeks), store at 4℃. For long-term storage, aliquot and store at -20℃ or below. Avoid multiple freeze-thaw cycles.
- 克隆性:
Monoclonal
- 标记物:
Unconjugated
- 适应物种:
Human, Mouse, Rat, Rabbit, Sheep, Bovine, Cat, Pig
- 保质期:
12 months from the shipping date of the product.
- 抗原来源:
Human
- 目录编号:
GTX35162
- 级别:
Primary Antibodies
- 库存:
Available
- 供应商:
GeneTex
- 宿主:
Mouse
- 应用范围:
IHC-P
- 浓度:
0.2 mg/ml(Please refer to the vial label for the specific concentration.)
- 靶点:
Vimentin
- 抗体英文名:
Vimentin antibody [LN-6]
- 抗体名:
Vimentin 抗体 [LN-6]
- 规格:
100 μg
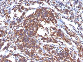
IHC-P analysis of human melanoma tissue using GTX35162 Vimentin antibody [LN-6].
风险提示:丁香通仅作为第三方平台,为商家信息发布提供平台空间。用户咨询产品时请注意保护个人信息及财产安全,合理判断,谨慎选购商品,商家和用户对交易行为负责。对于医疗器械类产品,请先查证核实企业经营资质和医疗器械产品注册证情况。
文献和实验secondary antibody review -- data from 99 publications
cytometry used as a control to detect cell responses targeted antigen 7 Alexa Fluor 488 7 Cy3 8 goat IgG Alexa Fluor 488 1:2000 detect antibody binding in human embryonic kidney 293T cells Invitrogen 9 donkey
of finding a clone within a given library? The exact probability of having any given DNA sequence in the library can be calculated from the equation N = ln(1 -P) /ln(1 - f) P is the desired probability f
Dynamic Monitoring of Cellular Remodeling Induced by the Transforming Growth Factor-β1
of the quality and quantity of remodeling of epithelial cells is a complex issue. It usually includes quantification of expression of epithelial and mesenchymal markers (E-cadherin, N-cadherin, and vimentin), visualization of cytoskeletal rebuilding (F-
技术资料暂无技术资料 索取技术资料





![PLA2G4F antibody [N3C2], Internal](https://img1.dxycdn.com/2023/0711/255/2344116916935858761-14.jpg!wh200)
![HMW Kininogen antibody [2B5]](https://img1.dxycdn.com/2023/0711/451/6106825198874858761-14.jpg!wh200)



