相关产品推荐更多 >
万千商家帮你免费找货
0 人在求购买到急需产品
- 详细信息
- 文献和实验
- 技术资料
- 免疫原:
Synthetic peptide seguence: VGGSIIHKAC
- 亚型:
IgG1
- 形态:
Liquid
- 保存条件:
Store as concentrated solution. Centrifuge briefly prior to opening vial. Store at 4ºC.
- 克隆性:
Monoclonal
- 标记物:
Unconjugated
- 适应物种:
Human
- 保质期:
12 months from the shipping date of the product.
- 抗原来源:
Human
- 目录编号:
GTX49367
- 级别:
Primary Antibodies
- 库存:
Available
- 供应商:
GeneTex
- 宿主:
Mouse
- 应用范围:
WB, ICC/IF, IHC-P, ELISA, IHC (Formalin)
- 浓度:
Batch dependent (Please refer to the vial label for the specific concentration.)
- 靶点:
This antibody is specific for the neoepitope generated after proteolytic cleavage of human yENaC and recognizes the C-terminal fragment.
- 抗体英文名:
ENaC Gamma antibody [11-35-1]
- 抗体名:
ENaC Gamma 抗体 [11-35-1]
- 规格:
100 μl
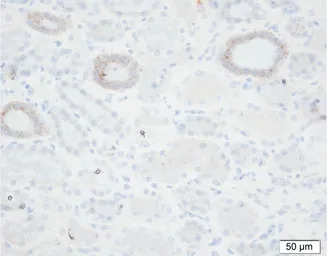
Immunohistochemical staining of a formalin-fixed, paraffin-embedded kidney tissue with GTX49367. Courtesy of Per Svenningsen, PhD.
风险提示:丁香通仅作为第三方平台,为商家信息发布提供平台空间。用户咨询产品时请注意保护个人信息及财产安全,合理判断,谨慎选购商品,商家和用户对交易行为负责。对于医疗器械类产品,请先查证核实企业经营资质和医疗器械产品注册证情况。
文献和实验The idea that cystic fibrosis (CF) results from dysregulation of ion channels, including the epithelial Na+ channel (ENaC), evolved from observations made before the cloning of the CF gene in 1989. Multiple laboratories had reported that protein
35 Expression of Antibody Fab Fragments and Whole Immunoglobulin in Mammalian Cells
The technologies described in this volume enable the isolation of recombi- nant antibodies (Abs) from libraries of variable regions (Fvs) or Fabs displayed on the surface of filamentous phage by fusion to a structural protein
IMMUNOSCREENING OF LAMBDA-GT11 BACTERIOPHAGE LIBRARIES WITH ANTIBODY PROBES
dishes of lysed E. coli to reduce anti-E. coli antibody background. These antibodies are present in all human sera, rabbit sera, and rodent sera. For each Petri dish containing solidified LB agar, mix 0.6ml of the Y1090 overnight-saturated culture with 30
技术资料暂无技术资料 索取技术资料





![CD3 epsilon antibody [APA1/1] (PE)](https://img1.dxycdn.com/2023/0711/451/6106825198874858761-14.jpg!wh200)
![GATA1 antibody [N1C1]](https://img1.dxycdn.com/2023/0516/045/6925717576889828561-14.jpg!wh200)



