相关产品推荐更多 >
万千商家帮你免费找货
0 人在求购买到急需产品
- 详细信息
- 文献和实验
- 技术资料
- 免疫原:
Human milk fat globule membrane preparation
- 亚型:
IgG1
- 形态:
Liquid
- 保存条件:
Store as concentrated solution. Centrifuge briefly prior to opening vial. For short-term storage (1-2 weeks), store at 4ºC. For long-term storage, aliquot and store at -20ºC or below. Avoid multiple freeze-thaw cycles.
- 克隆性:
Monoclonal
- 标记物:
Unconjugated
- 适应物种:
Human
- 保质期:
12 months from the shipping date of the product.
- 抗原来源:
Human
- 目录编号:
GTX34839
- 级别:
Primary Antibodies
- 库存:
Available
- 供应商:
GeneTex
- 宿主:
Mouse
- 应用范围:
IHC-P
- 浓度:
0.2 mg/ml (Please refer to the vial label for the specific concentration.)
- 靶点:
Milk Fat Globule 1
- 抗体英文名:
Milk Fat Globule 1 antibody [MFG-06]
- 抗体名:
Milk Fat Globule 1 抗体 [MFG-06]
- 规格:
100 μg
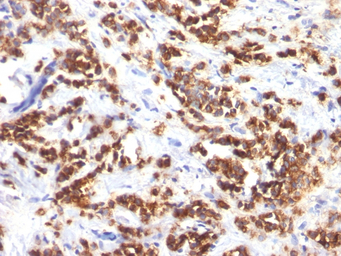
IHC-P analysis of human breast carcinoma tissue using GTX34839 Milk Fat Globule 1 antibody [MFG-06].
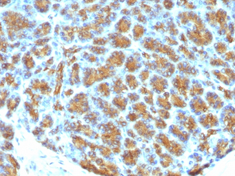
IHC-P analysis of human pancreas tissue using GTX34839 Milk Fat Globule 1 antibody [MFG-06].
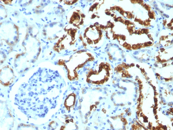
IHC-P analysis of human renal cell carcinoma tissue using GTX34839 Milk Fat Globule 1 antibody [MFG-06].
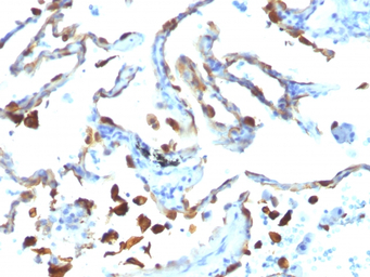
IHC-P analysis of human lung carcinoma tissue using GTX34839 Milk Fat Globule 1 antibody [MFG-06].
风险提示:丁香通仅作为第三方平台,为商家信息发布提供平台空间。用户咨询产品时请注意保护个人信息及财产安全,合理判断,谨慎选购商品,商家和用户对交易行为负责。对于医疗器械类产品,请先查证核实企业经营资质和医疗器械产品注册证情况。
文献和实验IMMUNOSCREENING OF WITH ANTIBODY PROBES
in 10mM IPTG (MW=238.31). Briefly blot the excess solution from the filters, and wrap them in cellophane. These should be moist and stored at 4°C. We typically adsorb serum with five 150 mm Petri dishes of lysed E. coli to reduce anti-E. coli antibody
Protocol for anti-HA antibody Western Blotting
of interest. 2) Transfer proteins in acrylamide gel to nylon membrane. 3) Block overnight @4℃ in PBS (or TBS, it doesn't matter) with 5% non-fat dry milk. I dilute 2.5 mg in 50 ml. 4) Wash off excess milk sol'n with PBS x3 .(important if you are re-using your antibody
Protocol for anti-HA antibody Western Blotting
of interest. 2) Transfer proteins in acrylamide gel to nylon membrane 3) Block overnight @4C in PBS (or TBS, it doesn't matter) with 5% non-fat dry milk. I dilute 2.5 mg in 50 ml. 4) Wash off excess milk sol'n with PBS x3 (important if you are re-using
技术资料暂无技术资料 索取技术资料







![beta Catenin antibody [15B8]](https://img1.dxycdn.com/2023/0711/451/6106825198874858761-14.jpg!wh200)

