相关产品推荐更多 >
万千商家帮你免费找货
0 人在求购买到急需产品
- 详细信息
- 文献和实验
- 技术资料
- 免疫原:
Recombinant full-length human p57Kip2 protein
- 亚型:
IgG2b
- 形态:
Liquid
- 保存条件:
Store as concentrated solution. Centrifuge briefly prior to opening vial. For short-term storage (1-2 weeks), store at 4ºC. For long-term storage, aliquot and store at -20ºC or below. Avoid multiple freeze-thaw cycles.
- 克隆性:
Monoclonal
- 标记物:
Unconjugated
- 适应物种:
Human, Mouse
- 保质期:
12 months from the shipping date of the product.
- 抗原来源:
Human
- 目录编号:
GTX34941
- 级别:
Primary Antibodies
- 库存:
Available
- 供应商:
GeneTex
- 宿主:
Mouse
- 应用范围:
ICC/IF, IHC-P, FACS
- 浓度:
0.2 mg/ml (Please refer to the vial label for the specific concentration.)
- 靶点:
Recognizes a protein of 57kDa, identified as p57Kip2. It shows no cross-reaction with p27Kip1.
- 抗体英文名:
p57 Kip2 antibody [KIP2/880]
- 抗体名:
p57 Kip2 抗体 [KIP2/880]
- 规格:
100 μg
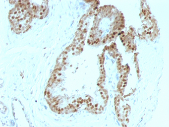
IHC-P analysis of human prostate carcinoma tissue using GTX34941 p57 Kip2 antibody [KIP2/880].
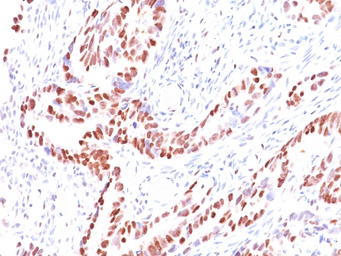
IHC-P analysis of human colon carcinoma tissue using GTX34941 p57 Kip2 antibody [KIP2/880].
风险提示:丁香通仅作为第三方平台,为商家信息发布提供平台空间。用户咨询产品时请注意保护个人信息及财产安全,合理判断,谨慎选购商品,商家和用户对交易行为负责。对于医疗器械类产品,请先查证核实企业经营资质和医疗器械产品注册证情况。
文献和实验In Vitro Methylation of Specific Regions in Recombinant DNA Constructs by Excision and Religation
(8 ,9 ). Moreover, analysis of imprinted gene expression in a methyltransferase knockout (Dnmt1 -/- ) mouse has shown that the imprint is lost in a number of cases, resulting in either two silent alleles (Igf2 , Igf2r and Kvlqt ) or two expressed alleles (H19 , p57 kip2
Evaluation of Alterations in the Tumor Suppressor Genes INK4A and INK4B in Human Bladder Tumors
, have been subdivided into two groups on the basis of sequence homology. The first CKI family includes p21 Cip1 (4 –6 ), p27 Kip1 (7 –9 ), and p57 Kip2 (10 ,11 ). The other CKI subgroup includes four members: p16 INK4A/MTS1/CDKN2A (12 ,13 ), p15 INK4B/MTS
Blue Native Gel Electrophoresis
Blue Native Gel Electrophoresis Stock solutions 49.5%T, 3%C Acrylamide 24 g acrylamide, 0.75 g bisacrylamide / 50 ml H2O Store at RT 3 x Gel buffer 150 mM BisTris-HCl, 1.5 M 6-amino-caproic acid, pH 7.0 Adjust pH to 7.0 with HCl at 4°C
技术资料暂无技术资料 索取技术资料





![LFA3 antibody [L180/1]](https://custom.dxycdn.com/trademd/upload/pic/2011/12/14/1323695851.jpg!small.t.1)

![Granzyme B antibody [11F1]](https://img1.dxycdn.com/2023/0711/451/6106825198874858761-14.jpg!wh200)

