相关产品推荐更多 >
万千商家帮你免费找货
0 人在求购买到急需产品
- 详细信息
- 文献和实验
- 技术资料
- 免疫原:
Recombinant protein corresponding to residues 1-181 of human WT1.
- 亚型:
IgG1, Kappa
- 形态:
Liquid
- 保存条件:
Store as concentrated solution. Centrifuge briefly prior to opening vial. For short-term storage (1-2 weeks), store at 4℃. For long-term storage, aliquot and store at -20℃ or below. Avoid multiple freeze-thaw cycles.
- 克隆性:
Monoclonal
- 标记物:
Unconjugated
- 适应物种:
Human, Mouse, Rat
- 保质期:
12 months from the shipping date of the product.
- 抗原来源:
Human
- 目录编号:
GTX35172
- 级别:
Primary Antibodies
- 库存:
Available
- 供应商:
GeneTex
- 宿主:
Mouse
- 应用范围:
IHC-P
- 浓度:
0.2 mg/ml(Please refer to the vial label for the specific concentration.)
- 靶点:
Wilms Tumor 1
- 抗体英文名:
Wilms Tumor 1 antibody [6F-H2]
- 抗体名:
Wilms Tumor 1 抗体 [6F-H2]
- 规格:
100 μg
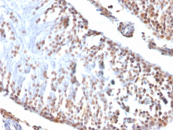
IHC-P analysis of rat testis tissue using GTX35172 Wilms Tumor 1 antibody [6F-H2].
IHC-P analysis of human testis tissue using GTX35172 Wilms Tumor 1 antibody [6F-H2].
IHC-P analysis of human mesothelioma tissue using GTX35172 Wilms Tumor 1 antibody [6F-H2].
风险提示:丁香通仅作为第三方平台,为商家信息发布提供平台空间。用户咨询产品时请注意保护个人信息及财产安全,合理判断,谨慎选购商品,商家和用户对交易行为负责。对于医疗器械类产品,请先查证核实企业经营资质和医疗器械产品注册证情况。
文献和实验-H2AX Detection in Peripheral Blood Lymphocytes, Splenocytes, Bone Marrow, Xenografts, and Skin
, environmental effects, and aging, as well as in the clinic. DSBs can be detected in the nuclei of cultured cells and tissues with an antibody to H2AX phosphorylated on serine residue 139 (γ-H2AX). DSB levels can be obtained
Chimerization of a Monoclonal Antibody for Treating Hodgkin's Lymphoma
Ber-H2 which recognizes the human CD30 molecule with high specificity and affinity (2 ). CD30, a member of the nerve growth factor (NGF) tumor necrosis factor receptor (TNFR) superfamily (3 ), is strongly expressed on the pathognomonic Hodgkin (H
MHC I STREPTAMERS® 检测与分离抗原特异性 (CD8+ T) 细胞
6 - 7041 - 001 Tumor HLA-A* 0201 WT- 1 (Wilms tumor protein) RMFPNAPYL 6 - 7019 - 001 HLA-A* 0201 HA- 1 H VLHDDLLEA 6 - 7018 - 001
技术资料暂无技术资料 索取技术资料





![GALK1 antibody [N3C3]](https://img1.dxycdn.com/2023/0516/895/8887749495766728561-14.jpg!wh200)


![Mouse anti-Pig IgG antibody [MT424] (Biotin)](https://img1.dxycdn.com/2023/0711/451/6106825198874858761-14.jpg!wh200)

