相关产品推荐更多 >
万千商家帮你免费找货
0 人在求购买到急需产品
- 详细信息
- 文献和实验
- 技术资料
- 免疫原:
Synthetic peptide corresponding to residues within aa200-300 of CD38
- 亚型:
IgG
- 形态:
Liquid
- 保存条件:
Store as concentrated solution. Centrifuge briefly prior to opening vial. Store at 4ºC.
- 克隆性:
Monoclonal
- 标记物:
Unconjugated
- 适应物种:
Human
- 保质期:
12 months from the shipping date of the product.
- 抗原来源:
Human
- 目录编号:
GTX02603
- 级别:
Primary Antibodies
- 库存:
Available
- 供应商:
GeneTex
- 宿主:
Rabbit
- 应用范围:
WB, IHC-P
- 浓度:
200 μg/ml (Please refer to the vial label for the specific concentration.)
- 靶点:
CD38
- 抗体英文名:
CD38 antibody [CD38/4247R]
- 抗体名:
CD38 抗体 [CD38/4247R]
- 规格:
100 μg
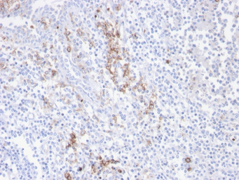
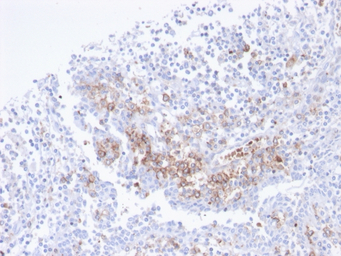
IHC-P analysis of human tonsil tissue section using GTX02603 CD38 antibody [CD38/4247R].
WB analysis of Raji whole cell lysate using GTX02603 CD38 antibody [CD38/4247R].
IHC-P analysis of human tonsil tissue section using GTX02603 CD38 antibody [CD38/4247R].
风险提示:丁香通仅作为第三方平台,为商家信息发布提供平台空间。用户咨询产品时请注意保护个人信息及财产安全,合理判断,谨慎选购商品,商家和用户对交易行为负责。对于医疗器械类产品,请先查证核实企业经营资质和医疗器械产品注册证情况。
文献和实验Wang J et al., Antioxidants (Basel) 2021 (PMID:33562281)
技术资料暂无技术资料 索取技术资料


![CD38 antibody [CD38/4247R]](https://img1.dxycdn.com/2023/0711/451/6106825198874858761-14.jpg)


![GCAP1 antibody [G2]](https://img1.dxycdn.com/2023/0711/451/6106825198874858761-14.jpg!wh200)
![FAN antibody [N2C1], Internal](https://img1.dxycdn.com/2023/0711/255/2344116916935858761-14.jpg!wh200)
![CHD1L antibody [N2C1], Internal](https://img1.dxycdn.com/2023/0516/045/6925717576889828561-14.jpg!wh200)
