相关产品推荐更多 >
万千商家帮你免费找货
0 人在求购买到急需产品
- 详细信息
- 文献和实验
- 技术资料
- 免疫原:
Membrane preparation of a small cell lung carcinoma
- 亚型:
IgG1
- 形态:
Liquid
- 保存条件:
Store as concentrated solution. Centrifuge briefly prior to opening vial. For short-term storage (1-2 weeks), store at 4ºC. For long-term storage, aliquot and store at -20ºC or below. Avoid multiple freeze-thaw cycles.
- 克隆性:
Monoclonal
- 标记物:
Unconjugated
- 适应物种:
Human, Rat, Zebrafish
- 保质期:
12 months from the shipping date of the product.
- 抗原来源:
Human
- 目录编号:
GTX34891
- 级别:
Primary Antibodies
- 库存:
Available
- 供应商:
GeneTex
- 宿主:
Mouse
- 应用范围:
ICC/IF, IHC-P, FACS
- 浓度:
0.2 mg/ml (Please refer to the vial label for the specific concentration.)
- 靶点:
This MAb reacts with an extracellular domain (close to transmembrane) of CD56/NCAM.
- 抗体英文名:
NCAM antibody [SPM128]
- 抗体名:
NCAM 抗体 [SPM128]
- 规格:
100 μg
FACS analysis of human monocytes using GTX34891 NCAM antibody [SPM128].
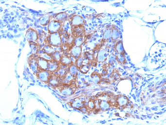
IHC-P analysis of human pancreas tissue using GTX34891 NCAM antibody [SPM128].
风险提示:丁香通仅作为第三方平台,为商家信息发布提供平台空间。用户咨询产品时请注意保护个人信息及财产安全,合理判断,谨慎选购商品,商家和用户对交易行为负责。对于医疗器械类产品,请先查证核实企业经营资质和医疗器械产品注册证情况。
文献和实验ANTIBODY BINDING TO PROTEIN A AND PROTEIN G
with non-immune reactivity for immunoglobulin G. J. Immunol. 111:1401-1406. Richman, D. D., Cleveland, P. H., Oxman, M. N., and Johnson, K. M. 1982. The binding of staphylococcl protein A by the sera of different animal species. J. Immunol. 128
Immunoflourescence of Cultured Cells
Materials L-lysine coated glass cover slips or charged glass slides Neutral Buffered Formalin (Sigma HT50-128) 0.5% NP40 in PBS (2.5 N HCl or 0.07 N NaOH for BrDU staining only) Primary and secondary
Making antibodies to synthetic pepti
You'll need to couple the synthetic peptide hapten to a protein carrier, with a bifunctional reagent. For antibody development, we don't bother to use highly purified peptide. Crude (unpurified) peptide or partially purified peptide
技术资料暂无技术资料 索取技术资料





![PRAK antibody [N3C3]](https://img1.dxycdn.com/2023/0711/255/2344116916935858761-14.jpg!wh200)

