相关产品推荐更多 >
万千商家帮你免费找货
0 人在求购买到急需产品
- 详细信息
- 文献和实验
- 技术资料
- 免疫原:
Crude human uterus extract
- 亚型:
IgG1
- 形态:
Liquid
- 保存条件:
Store as concentrated solution. Centrifuge briefly prior to opening vial. For short-term storage (1-2 weeks), store at 4ºC. For long-term storage, aliquot and store at -20ºC or below. Avoid multiple freeze-thaw cycles.
- 克隆性:
Monoclonal
- 标记物:
Unconjugated
- 适应物种:
Human, Rat
- 保质期:
12 months from the shipping date of the product.
- 抗原来源:
Human
- 目录编号:
GTX34447
- 级别:
Primary Antibodies
- 库存:
Available
- 供应商:
GeneTex
- 宿主:
Mouse
- 应用范围:
ICC/IF, IHC-P, FACS
- 浓度:
0.2 mg/ml (Please refer to the vial label for the specific concentration.)
- 靶点:
Calponin 1
- 抗体英文名:
Calponin 1 antibody [SPM169]
- 抗体名:
Calponin 1 抗体 [SPM169]
- 规格:
100 μg
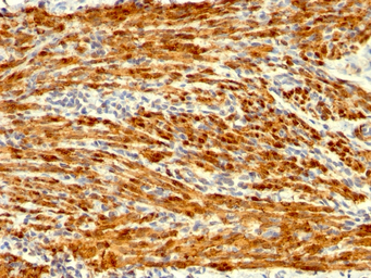
IHC-P analysis of human uterus tissue using GTX34447 Calponin 1 antibody [SPM169].
ICC/IF analysis of PFA-fixed K562 cells using GTX34447 Calponin 1 antibody [SPM169].
Green : Primary antibody
Red : nucleus
FACS analysis of PFA-fixed K562 cells using GTX34447 Calponin 1 antibody [SPM169].
Blue : Primary antibody
Red : Isotype control
风险提示:丁香通仅作为第三方平台,为商家信息发布提供平台空间。用户咨询产品时请注意保护个人信息及财产安全,合理判断,谨慎选购商品,商家和用户对交易行为负责。对于医疗器械类产品,请先查证核实企业经营资质和医疗器械产品注册证情况。
文献和实验人钙调蛋白 (Calponin)ELISA 试剂盒 ( 用于血清、血浆、细胞培养上清液和其它生物体液内 ) 原理 本实验采用双抗体夹心 ABC-ELISA 法。用抗人 Calponin 单抗包被于酶标板上,标准品和样品中的 Calponin与单抗结合,加入生物素化的抗人 Calponin ,形成免疫复合物连接在板上,辣根过氧化物酶标记的 Streptavidin 与生物素结合,加入底物工作液显蓝
secondary antibody review -- data from 99 publications
cytometry used as a control to detect cell responses targeted antigen 7 Alexa Fluor 488 7 Cy3 8 goat IgG Alexa Fluor 488 1:2000 detect antibody binding in human embryonic kidney 293T cells Invitrogen 9 donkey
Detection of apoptotic process in situ using immunocytochemical and TUNEL assays
antibody (mAb) conjugated with peroxidase (anti-DNA-POD) was used. This anti-DNA-POD mAb binds to single- and double-stranded, low molecular weight DNA fragments (mono- and oligonucleosomes), showing the internucleosomal degradation of genomic DNA occuring
技术资料暂无技术资料 索取技术资料







![Diablo antibody [006]](https://img1.dxycdn.com/2023/0711/451/6106825198874858761-14.jpg!wh200)

