相关产品推荐更多 >
万千商家帮你免费找货
0 人在求购买到急需产品
- 详细信息
- 文献和实验
- 技术资料
- 免疫原:
Recombinant human CD31 protein
- 亚型:
IgG1
- 形态:
Liquid
- 保存条件:
Store as concentrated solution. Centrifuge briefly prior to opening vial. For short-term storage (1-2 weeks), store at 4ºC. For long-term storage, aliquot and store at -20ºC or below. Avoid multiple freeze-thaw cycles.
- 克隆性:
Monoclonal
- 标记物:
Unconjugated
- 适应物种:
Human, Rat
- 保质期:
12 months from the shipping date of the product.
- 抗原来源:
Human
- 目录编号:
GTX34493
- 级别:
Primary Antibodies
- 库存:
Available
- 供应商:
GeneTex
- 宿主:
Mouse
- 应用范围:
WB, IHC-P, FACS
- 浓度:
0.2 mg/ml (Please refer to the vial label for the specific concentration.)
- 靶点:
CD31
- 抗体英文名:
CD31 antibody [C31.10]
- 抗体名:
CD31 抗体 [C31.10]
- 规格:
100 μg
FACS analysis of Jurkat cells using GTX34493 CD31 antibody [C31.10].
Black : Blank
Grey : Isotype Control
Green : Primary antibody
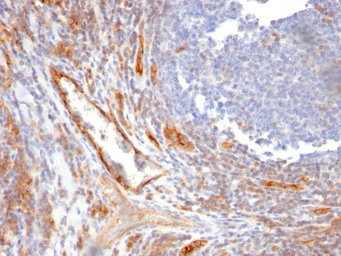
IHC-P analysis of human angiosarcoma tissue using GTX34493 CD31 antibody [C31.10].
WB analysis of Jurkat cell lysate using GTX34493 CD31 antibody [C31.10].
IHC-P analysis of human tonsil tissue using GTX34493 CD31 antibody [C31.10].
风险提示:丁香通仅作为第三方平台,为商家信息发布提供平台空间。用户咨询产品时请注意保护个人信息及财产安全,合理判断,谨慎选购商品,商家和用户对交易行为负责。对于医疗器械类产品,请先查证核实企业经营资质和医疗器械产品注册证情况。
文献和实验RUVKUN Antibody Staining Protocol revised 10/29/90
RUVKUN Antibody Staining Protocol revised 10/29/90 Fixation: 1. C. elegans N2 grown in liquid or plates. Harvest worms. Wash for 2 hours at room temp. in 1X M9 or PBS. 2. Fix in 5 ml of FRESH THAT DAY 1% paraformaldehyde:
the antibody, load the affigel concentrate onto the column and hold at room temperature for 10 minutes.(15) Wash with 50 ml 10 mM Tris 7.5 and then wash with 50 ml 10 mM Tris 7.5/500 mM NaCl. Elute with 5 ml 100 mM Glycine pH 2.5 into 1 ml 1M Tris 8.0.(16
. The first is to Dialyze the coupled antibody against PBS for 24 hours with 3 changes of PBS. Doing this will not change concentration of original antibody (recommended for antibody with a concentration less than 1mg/mL). The second way is to use a PD-10 column. Using
技术资料暂无技术资料 索取技术资料






![FUBP1 antibody [AT14F5]](https://img1.dxycdn.com/2023/0711/451/6106825198874858761-14.jpg!wh200)


