相关产品推荐更多 >
万千商家帮你免费找货
0 人在求购买到急需产品
- 详细信息
- 文献和实验
- 技术资料
- 免疫原:
Human milk-fat globule membranes (HMFGM)
- 亚型:
IgG1
- 形态:
Liquid
- 保存条件:
Store as concentrated solution. Centrifuge briefly prior to opening vial. For short-term storage (1-2 weeks), store at 4ºC. For long-term storage, aliquot and store at -20ºC or below. Avoid multiple freeze-thaw cycles.
- 克隆性:
Monoclonal
- 标记物:
Unconjugated
- 适应物种:
Human, Mouse
- 保质期:
12 months from the shipping date of the product.
- 抗原来源:
Human
- 目录编号:
GTX34852
- 级别:
Primary Antibodies
- 库存:
Available
- 供应商:
GeneTex
- 宿主:
Mouse
- 应用范围:
WB, ICC/IF, IHC-P, FACS, ELISA
- 浓度:
0.2 mg/ml (Please refer to the vial label for the specific concentration.)
- 靶点:
MUC1
- 抗体英文名:
MUC1 antibody [MUC1/955]
- 抗体名:
MUC1 抗体 [MUC1/955]
- 规格:
100 μg
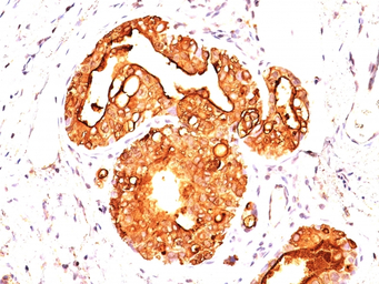
IHC-P analysis of human ovarian carcinoma tissue using GTX34852 MUC1 antibody [MUC1/955].
WB analysis of T47D cell lysate using GTX34852 MUC1 antibody [MUC1/955].
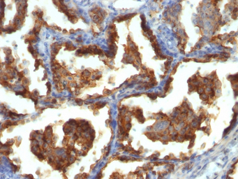
IHC-P analysis of human breast carcinoma tissue using GTX34852 MUC1 antibody [MUC1/955].
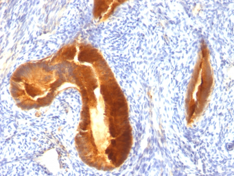
IHC-P analysis of human endometrial carcinoma tissue using GTX34852 MUC1 antibody [MUC1/955].
风险提示:丁香通仅作为第三方平台,为商家信息发布提供平台空间。用户咨询产品时请注意保护个人信息及财产安全,合理判断,谨慎选购商品,商家和用户对交易行为负责。对于医疗器械类产品,请先查证核实企业经营资质和医疗器械产品注册证情况。
文献和实验7.5, 150 mM NaCl, and1% (v/v) Triton X-100. 7. Suitable SDS-PAGE and transfer setup as in Section 2.4.1 . 8. Protein Sample Loading Dye (4×) as in Section 2.4.1 . 9. Nitrocellulose or PVDF membrane. 10. Mouse anti-β-catenin antibody (available
Isolation of Human Fab Fragments Against Ovarian Carcinoma Using Guided Selection
on aspects such as mechanisms of action, preclinical screening, and clinical results, see specific references in Table 1 and an excellent recent review (1 ). Table 1 Target Antigens Potentially Suited for Antibody-Based Immunotherapy of Ovarian
多篇 SCI 发现用 RIPA 提蛋白存在问题,我们该如何应对?
公司把它变成了现实,来自美国专利技术离心管柱蛋白提取法,只需您加入裂解液,过柱离心,不产生不可溶组分,1 分钟轻松解决蛋白提取丢失问题。参考文献Alcaraz, C, et al. (1990) . Comparison of a radioimmunoprecipitation assay to immunoblotting and ELISA for detection of antibody to African swine fever virus. J. Vet. Diagn
技术资料暂无技术资料 索取技术资料





![PEX19 antibody [GT533]](https://img1.dxycdn.com/2023/0711/451/6106825198874858761-14.jpg!wh200)


