相关产品推荐更多 >
万千商家帮你免费找货
0 人在求购买到急需产品
- 详细信息
- 文献和实验
- 技术资料
- 免疫原:
Recombinant human full-length CDH16 protein
- 亚型:
IgG
- 形态:
Liquid
- 保存条件:
Store as concentrated solution. Centrifuge briefly prior to opening vial. For short-term storage (1-2 weeks), store at 4ºC. For long-term storage, aliquot and store at -20ºC or below. Avoid multiple freeze-thaw cycles.
- 克隆性:
Monoclonal
- 标记物:
Unconjugated
- 适应物种:
Human, Mouse, Rat
- 保质期:
12 months from the shipping date of the product.
- 抗原来源:
Human
- 目录编号:
GTX34583
- 级别:
Primary Antibodies
- 库存:
Available
- 供应商:
GeneTex
- 宿主:
Rabbit
- 应用范围:
WB, IHC-P, FACS
- 浓度:
0.2 mg/ml (Please refer to the vial label for the specific concentration.)
- 靶点:
CDH16
- 抗体英文名:
CDH16 antibody [CDH16/1532R]
- 抗体名:
CDH16 抗体 [CDH16/1532R]
- 规格:
100 μg
FACS analysis of HEK293 cells using GTX34583 CDH16 antibody [CDH16/1532R].
Blue : Primary antibody
Red : Isotype control
IHC-P analysis of mouse kidney tissue using GTX34583 CDH16 antibody [CDH16/1532R].
IHC-P analysis of rat kidney tissue using GTX34583 CDH16 antibody [CDH16/1532R].
WB analysis of human kidney tissue lysate using GTX34583 CDH16 antibody [CDH16/1532R].
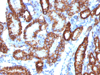
IHC-P analysis of human renal cell carcinoma tissue using GTX34583 CDH16 antibody [CDH16/1532R].
风险提示:丁香通仅作为第三方平台,为商家信息发布提供平台空间。用户咨询产品时请注意保护个人信息及财产安全,合理判断,谨慎选购商品,商家和用户对交易行为负责。对于医疗器械类产品,请先查证核实企业经营资质和医疗器械产品注册证情况。
文献和实验Phage‐Based Expression Cloning to Identify Interacting Proteins
, W., Sellers, W.R., DeCaprio, J.A., Ajchenbaum, F., Fuchs, C.S., Chittenden, T., Li, Y., Farnham, P.J., Blanar, M.A., Livingston, D.M., and Flemington, E.K. 1992. Expression cloning of a cDNA encoding a retinoblastoma‐binding protein with E2F
a subset of genomic DNA sequences of type 5'-(NNN )3 -3', whereas the 6ZF library would recognize a subset of genomic sequences of type 5'-(NNN )6 -3'. Given the zinc-finger domains used, both libraries were more likely to recognize (RNN)x -type sequences
技术资料暂无技术资料 索取技术资料





![Prostaglandin E Receptor EP2 antibody [GT1308]](https://img1.dxycdn.com/2023/0711/451/6106825198874858761-14.jpg!wh200)



