相关产品推荐更多 >
万千商家帮你免费找货
0 人在求购买到急需产品
- 详细信息
- 文献和实验
- 技术资料
- 免疫原:
Recombinant human SUMO2 protein
- 亚型:
IgG1
- 形态:
Liquid
- 保存条件:
Store as concentrated solution. Centrifuge briefly prior to opening vial. For short-term storage (1-2 weeks), store at 4ºC. For long-term storage, aliquot and store at -20ºC or below. Avoid multiple freeze-thaw cycles.
- 克隆性:
Monoclonal
- 标记物:
Unconjugated
- 适应物种:
Human, Rat
- 保质期:
12 months from the shipping date of the product.
- 抗原来源:
Human
- 目录编号:
GTX35095
- 级别:
Primary Antibodies
- 库存:
Available
- 供应商:
GeneTex
- 宿主:
Mouse
- 应用范围:
ICC/IF, IHC-P, FACS
- 浓度:
0.2 mg/ml (Please refer to the vial label for the specific concentration.)
- 靶点:
SUMO2
- 抗体英文名:
SUMO2 antibody [SUMO2/1199]
- 抗体名:
SUMO2 抗体 [SUMO2/1199]
- 规格:
100 μg
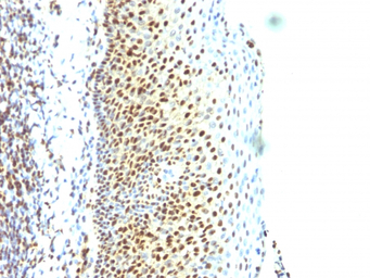
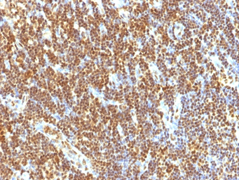
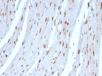
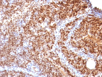
IHC-P analysis of rat ovary tissue using GTX35095 SUMO2 antibody [SUMO2/1199].
IHC-P analysis of human testicular carcinoma tissue using GTX35095 SUMO2 antibody [SUMO2/1199].
IHC-P analysis of human tonsil tissue using GTX35095 SUMO2 antibody [SUMO2/1199].
IHC-P analysis of human ovarian carcinoma tissue using GTX35095 SUMO2 antibody [SUMO2/1199].
IHC-P analysis of rat heart tissue using GTX35095 SUMO2 antibody [SUMO2/1199].
IHC-P analysis of human tonsil tissue using GTX35095 SUMO2 antibody [SUMO2/1199].
风险提示:丁香通仅作为第三方平台,为商家信息发布提供平台空间。用户咨询产品时请注意保护个人信息及财产安全,合理判断,谨慎选购商品,商家和用户对交易行为负责。对于医疗器械类产品,请先查证核实企业经营资质和医疗器械产品注册证情况。
文献和实验祝贺〖雅裕睿安〗成为Signalway Antibody(SAB)独家
antibody unconjugated; 货号21337,产品描述:GAPDH Antibody;规格 50 ul / 100 ul; 货号3052,产品描述:Rabbit anti-Human IgG secondary antibody HRP conjugated; 货号300904050,产品描述:One-Hour Western kit,10 ml / bottle x 3;
Protocol for vacuum-infiltration transformation of Arabidopsis thaliana
Sciences, 316 : 1194-1199. 上一篇:Antibody Staining of Imaginal Discs 下一篇:ARABIDOPSIS TRANSFORMATION
通过转基因改良谷物种子蛋白质成分的研究。例如,通过基因操作可以改变小麦中高分子质量(HMW) 的谷蛋白亚基的组成,而并不影响小麦农艺性状 [ 42 ] 。最近研究发现,高水平表达高分子质量亚基1D x 5 和/或 1Dy10 的转基因小麦,其面团具有较髙的搅拌强度和韧性 [ 43 ] 。一项相关研究表明,两份分别含有约 20 个和 50 个 HMW 谷蛋白单基因拷贝及其启动子的转基因小麦株系中,检测到了相关的染色质解凝过程[ 44 ] 。在反义抑制硫氧还蛋白积累的转基因株系中,已检测到谷蛋白的降解
技术资料暂无技术资料 索取技术资料







![GRK3 antibody [N1N2], N-term](https://img1.dxycdn.com/2023/0516/895/8887749495766728561-14.jpg!wh200)

