相关产品推荐更多 >
万千商家帮你免费找货
0 人在求购买到急需产品
- 详细信息
- 文献和实验
- 技术资料
- 免疫原:
Full length CD63 of human origin
- 亚型:
IgG1
- 形态:
Liquid
- 保存条件:
Store as concentrated solution. Centrifuge briefly prior to opening vial. For short-term storage (1-2 weeks), store at 4ºC. For long-term storage, aliquot and store at -20ºC or below. Avoid multiple freeze-thaw cycles.
- 克隆性:
Monoclonal
- 标记物:
Unconjugated
- 适应物种:
Human, Mouse
- 保质期:
12 months from the shipping date of the product.
- 抗原来源:
Human
- 目录编号:
GTX34540
- 级别:
Primary Antibodies
- 库存:
Available
- 供应商:
GeneTex
- 宿主:
Mouse
- 应用范围:
WB, ICC/IF, IHC-P, FACS
- 浓度:
0.2 mg/ml (Please refer to the vial label for the specific concentration.)
- 靶点:
This MAb recognizes protein of 26kDa-60kDa, which is identified as CD63. Its epitope is different from that of MAb LAMP3/529.
- 抗体英文名:
CD63 antibody [MX-49.129.5]
- 抗体名:
CD63 抗体 [MX-49.129.5]
- 规格:
100 μg
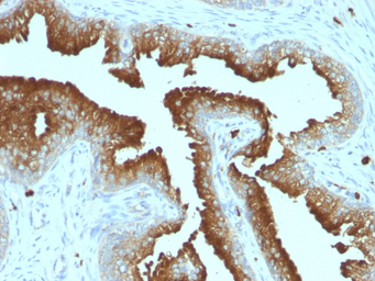
IHC-P analysis of human melanoma tissue using GTX34540 CD63 antibody [MX-49.129.5].
IHC-P analysis of human prostate carcinoma tissue using GTX34540 CD63 antibody [MX-49.129.5].
WB analysis of human spleen tissue lysate using GTX34540 CD63 antibody [MX-49.129.5].
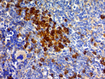
IHC-P analysis of mouse spleen tissue using GTX34540 CD63 antibody [MX-49.129.5].
ICC/IF analysis of HeLa cells using GTX34540 CD63 antibody [MX-49.129.5].
Green : Primary antibody
Red : Actin
Blue : DAPI
FACS analysis of NIH/3T3 cells using GTX34540 CD63 antibody [MX-49.129.5].
Black : Blank
Green : Isotype Control
Red : Primary antibody
风险提示:丁香通仅作为第三方平台,为商家信息发布提供平台空间。用户咨询产品时请注意保护个人信息及财产安全,合理判断,谨慎选购商品,商家和用户对交易行为负责。对于医疗器械类产品,请先查证核实企业经营资质和医疗器械产品注册证情况。
文献和实验人类白细胞分化抗原协作组会议(HLDA )从 1982 年起至 1996 年已召开 6 届。第一届会议时命名的 CD 有 CD1 - CD15 。到第六届会议时增加至 CD1 - CD166 (其中 CD110 - CD113 、 CD118 、 CD129 、 CD133 、 CD159 和 CD160 空缺)。关于 CD 的分组,第一届时只有 T 细胞( T ),随着研究的扩大和深入,其后各届分组不断增加。 1993 年第五届时已有 T 细胞( T )、 B 细胞( B
9、CD31、CD36、CD4la、CD4lb、CD42a-CD42d、CD61、CD63、CD107a、CD107b、CD26、CD30、CD69、CD70、CD71、CD95-CD97 激活抗原 CD26、CD30、CD69、CD70、CD71、CD95-CD97 粘附
CD48,CD52~CD59,CD94 血小板 CD41,CD42,CD63,CD107 内皮细胞 CD105,CD106,CDw109 粘附分子 CD11a,CD44,CD49~CD51,CD61,CD62,CD102~CD104,CDw108 细胞因子受体 CDw116
技术资料暂无技术资料 索取技术资料





![RanBP1 antibody [HL2358]](https://img1.dxycdn.com/2023/0711/058/8406876405285858761-14.jpg!wh200)

![CD33 antibody [5C24]](https://img1.dxycdn.com/2023/0711/451/6106825198874858761-14.jpg!wh200)


