相关产品推荐更多 >
万千商家帮你免费找货
0 人在求购买到急需产品
- 详细信息
- 文献和实验
- 技术资料
- 免疫原:
Purified recombinant human CBX3 protein fragments expressed in E.coli.
- 亚型:
IgG
- 形态:
Liquid
- 保存条件:
Store as concentrated solution. Centrifuge briefly prior to opening vial. For short-term storage (1-2 weeks), store at 4ºC. For long-term storage, aliquot and store at -20ºC or below. Avoid multiple freeze-thaw cycles.
- 克隆性:
Monoclonal
- 标记物:
Unconjugated
- 适应物种:
Human, Mouse, Rat, Hamster, Monkey
- 保质期:
12 months from the shipping date of the product.
- 抗原来源:
Human
- 目录编号:
GTX66848
- 级别:
Primary Antibodies
- 库存:
Available
- 供应商:
GeneTex
- 宿主:
Mouse
- 应用范围:
WB, ICC/IF, IHC-P, IP
- 浓度:
Batch dependent (Please refer to the vial label for the specific concentration.)
- 靶点:
HP1 gamma
- 抗体英文名:
HP1 gamma antibody [5G10]
- 抗体名:
HP1 gamma 抗体 [5G10]
- 规格:
100 μl
WB analysis of HeLa, 3T3, C6, COS7, and CHO-K1 cell lysates using GTX66848 HP1 gamma antibody [5G10].
Dilution : 1:1000
IP analysis of HeLa cell lysate using GTX66848 HP1 gamma antibody [5G10].
ICC/IF analysis of 4% PFA-fixed HeLa cells using GTX66848 HP1 gamma antibody [5G10].
Dilution : 1:200
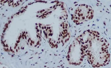
IHC-P analysis of prostate cancer tissue using GTX66848 HP1 gamma antibody [5G10].
Antigen retrieval : citrate buffer (pH 6.0)
风险提示:丁香通仅作为第三方平台,为商家信息发布提供平台空间。用户咨询产品时请注意保护个人信息及财产安全,合理判断,谨慎选购商品,商家和用户对交易行为负责。对于医疗器械类产品,请先查证核实企业经营资质和医疗器械产品注册证情况。
文献和实验secondary antibody review -- data from 99 publications
cytometry used as a control to detect cell responses targeted antigen 7 Alexa Fluor 488 7 Cy3 8 goat IgG Alexa Fluor 488 1:2000 detect antibody binding in human embryonic kidney 293T cells Invitrogen 9 donkey
Coating of Platelets with Antibody in vitro
OUTLINE Antibody-coated platelets (opsnized) may be used in the subsequent thrombophagocytosis assay. PROTOCOL Resuspend 1.6x10^8 of CMFDA-labeled platelets in 200µl of BSGC-BSA (v/w 1%) either with a control Ab
or HP1s associated with 5' biotin labeled siRNA EF52. Schematic methodology is shown for detection from cell lysates of biotin labeled siRNAs in complex with flag-tagged DNMTs or HP1s (alpha, beta, or gamma). B) Triple immunoprecipitation assay
技术资料暂无技术资料 索取技术资料






![NF-H antibody [NAP4]](https://img1.dxycdn.com/2023/0711/451/6106825198874858761-14.jpg!wh200)

