相关产品推荐更多 >
万千商家帮你免费找货
0 人在求购买到急需产品
- 详细信息
- 文献和实验
- 技术资料
- 免疫原:
Recombinant protein
- 亚型:
IgG
- 形态:
Liquid
- 保存条件:
Store as concentrated solution. Centrifuge briefly prior to opening vial. For short-term storage (1-2 weeks), store at 4ºC. For long-term storage, aliquot and store at -20ºC or below. Avoid multiple freeze-thaw cycles.
- 克隆性:
Monoclonal
- 标记物:
Unconjugated
- 适应物种:
Human, Mouse, Rat
- 保质期:
12 months from the shipping date of the product.
- 抗原来源:
Human
- 目录编号:
GTX01165
- 级别:
Primary Antibodies
- 库存:
Available
- 供应商:
GeneTex
- 宿主:
Rabbit
- 应用范围:
WB, IHC-P
- 浓度:
1 mg/ml (Please refer to the vial label for the specific concentration.)
- 靶点:
SF3B1
- 抗体英文名:
SF3B1 antibody [JB40-32]
- 抗体名:
SF3B1 抗体 [JB40-32]
- 规格:
100 μl
Various whole cell extracts (30 μg) were separated by 5% SDS-PAGE, and the membrane was blotted with SF3B1 antibody [JB40-32] (GTX01165) diluted at 1:500. The HRP-conjugated anti-rabbit IgG antibody (GTX213110-01) was used to detect the primary antibody. Corresponding RNA expression data for the same cell lines are based on Human Protein Atlas program.
Mouse tissue extract (50 μg) was separated by 5% SDS-PAGE, and the membrane was blotted with SF3B1 antibody [JB40-32] (GTX01165) diluted at 1:1000. The HRP-conjugated anti-rabbit IgG antibody (GTX213110-01) was used to detect the primary antibody.
IHC-P analysis of human colon cancer tissue section using GTX01165 SF3B1 antibody [JB40-32].
IHC-P analysis of mouse small intestine tissue section using GTX01165 SF3B1 antibody [JB40-32].
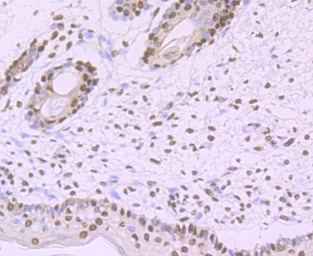
IHC-P analysis of human skin tissue section using GTX01165 SF3B1 antibody [JB40-32].
IHC-P analysis of rat brain tissue section using GTX01165 SF3B1 antibody [JB40-32].
IHC-P analysis of human kidney tissue section using GTX01165 SF3B1 antibody [JB40-32].
风险提示:丁香通仅作为第三方平台,为商家信息发布提供平台空间。用户咨询产品时请注意保护个人信息及财产安全,合理判断,谨慎选购商品,商家和用户对交易行为负责。对于医疗器械类产品,请先查证核实企业经营资质和医疗器械产品注册证情况。
文献和实验40–96 JB-04 1D7 HCV 90 106 K6 H6 /B5 Iso-osmolar
secondary antibody review -- data from 99 publications
cytometry used as a control to detect cell responses targeted antigen 7 Alexa Fluor 488 7 Cy3 8 goat IgG Alexa Fluor 488 1:2000 detect antibody binding in human embryonic kidney 293T cells Invitrogen 9 donkey
【翻译】Development trends for monoclonal antibody cancer therapeutics
). However, since 2000, humanized and human mAbs have been entering clinical study at approximately the same rate (4.3 versus 4.5 mAbs per year, respectively). Figure 1 | Categories of monoclonal antibody cancer therapeutics entering clinical study during 1980–1989
技术资料暂无技术资料 索取技术资料





![GRK2 antibody [N1C1]](https://custom.dxycdn.com/trademd/upload/pic/2011/12/20/1324016002.jpg!small.t.1)
![PLEKHG4 antibody [N1N2], N-term](https://img1.dxycdn.com/2023/0516/045/6925717576889828561-14.jpg!wh200)


