相关产品推荐更多 >

Goat Anti-Mouse IgG2a (Heavy chain) antibody, pre-adsorbed (AP)
询价
Goat Anti-Rat IgM (Mu chain) antibody, pre-adsorbed (HRP)
询价
Goat Anti-Mouse IgM (Mu chain) antibody, pre-adsorbed (TRITC)
询价
Goat Anti-Human IgM (Mu chain) antibody, pre-adsorbed (HRP)
询价![Mouse Anti-Human IgA (Fc) CH2 domain antibody [15D6] (FITC)](https://img1.dxycdn.com/2023/0711/634/4838657270443858761-14.jpg!wh200)
Mouse Anti-Human IgA (Fc) CH2 domain antibody [15D6] (FITC)
¥5600
万千商家帮你免费找货
0 人在求购买到急需产品
- 详细信息
- 文献和实验
- 技术资料
- 免疫原:
Human IgG2 myeloma protein
- 亚型:
IgG1
- 形态:
Liquid
- 保存条件:
Store as concentrated solution. Centrifuge briefly prior to opening vial. Store at 4ºC.
- 克隆性:
Monoclonal
- 标记物:
Purified IgG1
- 适应物种:
Human
- 保质期:
12 months from the shipping date of the product.
- 抗原来源:
0.5 mg/ml (Please refer to the vial label for the specific concentration.)
- 目录编号:
GTX04181
- 级别:
Secondary Antibodies
- 库存:
Available
- 供应商:
GeneTex
- 宿主:
Mouse
- 应用范围:
WB, IHC-P, IHC-Fr, FACS, IP, ELISA, Depletion, Purification
- 浓度:
0.5 mg/ml (Please refer to the vial label for the specific concentration.)
- 靶点:
Mouse Anti-Human IgG2 (Fd)
- 抗体英文名:
Mouse Anti-Human IgG2 (Fd) antibody [HP6014]
- 抗体名:
Mouse Anti-Human IgG2 (Fd) 抗体 [HP6014]
- 规格:
500 μg
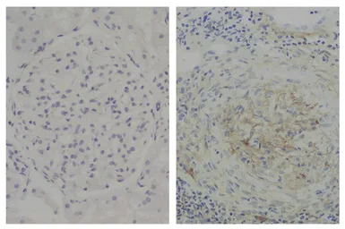
IHC-P analysis of human glomerular basement membrane tissue using GTX04181 Mouse Anti-Human IgG2 (Fd) antibody [HP6014] followed by an HRP conjugated secondary antibody.
风险提示:丁香通仅作为第三方平台,为商家信息发布提供平台空间。用户咨询产品时请注意保护个人信息及财产安全,合理判断,谨慎选购商品,商家和用户对交易行为负责。对于医疗器械类产品,请先查证核实企业经营资质和医疗器械产品注册证情况。
文献和实验Aspects of CNS Lupus: Mouse Models of Anti-NMDA Receptor Antibody Mediated Reactivity
transfer of pathology by injecting human and mouse brain-reactive antibodies into adult mouse as well as injecting the antibody into gestating mice and transfer of antibody from dam to fetus, (5) blocking NMDAR-mediated pathogenicity in vivo, (6) evacuation
suspension. 5) Label another sample tube for each fluorochrome-conjugated antibody you are using, and add 1 drop of AbC™ capture beads (Component A in the AbC™ Anti-Mouse Bead Kit) to each tube. 6) Add a pre-titrated
Protocol for anti-HA antibody Western Blotting
seconds, and pour it off: this method was worked out in the Yamamoto lab eons ago). 7) Incubate with secondary antibody (anti-mouse) in 5% BSA/PBS/Tween as you would ordinarily. I usually go for 2 hours @ room temp. 8) 12-15 quick washes again(in 1XPBS
技术资料暂无技术资料 索取技术资料






