相关产品推荐更多 >
万千商家帮你免费找货
0 人在求购买到急需产品
- 详细信息
- 技术资料
- 免疫原:
Pooled antisera from goats hyperimmunized with mouse λ light chains
- 亚型:
IgG
- 形态:
Liquid
- 保存条件:
Store as concentrated solution. Centrifuge briefly prior to opening vial. Store at 4ºC.
- 克隆性:
Polyclonal
- 标记物:
Purified by antigen-affinity chromatography
- 适应物种:
Mouse
- 保质期:
12 months from the shipping date of the product.
- 抗原来源:
1 mg/ml (Please refer to the vial label for the specific concentration.)
- 目录编号:
GTX04203
- 级别:
Secondary Antibodies
- 库存:
Available
- 供应商:
GeneTex
- 宿主:
Goat
- 应用范围:
WB, ICC/IF, IHC-P, IHC-Fr, FACS, IP, ELISA, Activation, ELISPOT
- 浓度:
1 mg/ml (Please refer to the vial label for the specific concentration.)
- 靶点:
Goat Anti-Mouse lambda light chain
- 抗体英文名:
Goat Anti-Mouse lambda light chain antibody, pre-adsorbed
- 抗体名:
Goat Anti-Mouse lambda light chain 抗体, pre-adsorbed
- 规格:
1 mg
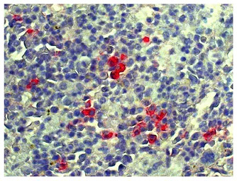
IHC-P analysis of mouse spleen tissue using GTX04203 Goat Anti-Mouse lambda light chain antibody, pre-adsorbed followed by Donkey Anti-Goat IgG antibody, pre-absorbed (AP).
风险提示:丁香通仅作为第三方平台,为商家信息发布提供平台空间。用户咨询产品时请注意保护个人信息及财产安全,合理判断,谨慎选购商品,商家和用户对交易行为负责。对于医疗器械类产品,请先查证核实企业经营资质和医疗器械产品注册证情况。
技术资料暂无技术资料 索取技术资料





![Mouse Anti-Rat IgG1 antibody [G17E7] (HRP)](https://img1.dxycdn.com/2022/0328/193/2092141667179700453-14.jpg!wh200)

![Mouse Anti-Human lambda light chain antibody [4C2] (PE)](https://img1.dxycdn.com/2022/0328/052/4381340107026500453-14.jpg!wh200)
