相关产品推荐更多 >
万千商家帮你免费找货
0 人在求购买到急需产品
- 详细信息
- 技术资料
- 免疫原:
Pooled antisera from goats hyperimmunized with mouse IgA
- 亚型:
IgG
- 形态:
Liquid
- 保存条件:
Store as concentrated solution. Centrifuge briefly prior to opening vial. Store at 4ºC.
- 克隆性:
Polyclonal
- 标记物:
Purified by antigen-affinity chromatography
- 适应物种:
Mouse
- 保质期:
12 months from the shipping date of the product.
- 抗原来源:
Batch dependent (Please refer to the vial label for the specific concentration.)
- 目录编号:
GTX04200-01
- 级别:
Secondary Antibodies
- 库存:
Available
- 供应商:
GeneTex
- 宿主:
Goat
- 应用范围:
WB, ICC/IF, IHC-P, IHC-Fr, FACS, ELISA, Depletion, ELISPOT
- 浓度:
Batch dependent (Please refer to the vial label for the specific concentration.)
- 靶点:
Goat Anti-Mouse IgA (Heavy chain)
- 抗体英文名:
Goat Anti-Mouse IgA (Heavy chain) antibody, pre-adsorbed (HRP)
- 抗体名:
Goat Anti-Mouse IgA (Heavy chain) 抗体, pre-adsorbed (HRP)
- 规格:
1 ml
ELISA analysis of purified mouse immunoglobulins using serially diluted GTX04200-01 Goat Anti-Mouse IgA (Heavy chain) antibody, pre-adsorbed (HRP).
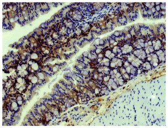
IHC-P analysis of mouse colon tissue using GTX04200-01 Goat Anti-Mouse IgA (Heavy chain) antibody, pre-adsorbed (HRP).
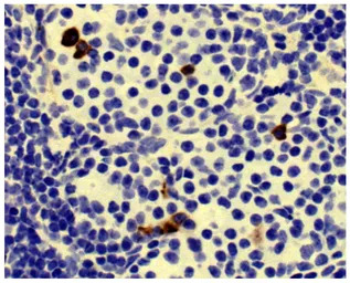
IHC-P analysis of mouse lymph node tissue using GTX04200-01 Goat Anti-Mouse IgA (Heavy chain) antibody, pre-adsorbed (HRP).
风险提示:丁香通仅作为第三方平台,为商家信息发布提供平台空间。用户咨询产品时请注意保护个人信息及财产安全,合理判断,谨慎选购商品,商家和用户对交易行为负责。对于医疗器械类产品,请先查证核实企业经营资质和医疗器械产品注册证情况。
技术资料暂无技术资料 索取技术资料





![Mouse Anti-Human IgG (Fc) antibody [EM-07]](https://img1.dxycdn.com/2022/0328/551/1859909354506500453-14.jpg!wh200)

