万千商家帮你免费找货
0 人在求购买到急需产品
- 详细信息
- 文献和实验
- 技术资料
- 英文名:
Human Cardiac Fibroblasts-adult ventrical
- 库存:
999
- 品系:
原代细胞
- 组织来源:
人
- 物种来源:
人
- 器官来源:
心脏
- 运输方式:
干冰
- 规格:
5 x 10^5 cells/vial
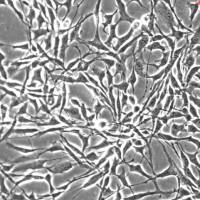
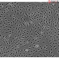
心脏成纤维细胞(CF)是构成心脏的主要细胞类型。它们对于心肌细胞起结构支持作用,在生长和病理条件下,负责细胞外基质的合成。CF是心肌损伤反应的重要细胞成分,并能产生旁分泌生长因子。CF的增殖和基质合成对于心肌梗塞、心肌纤维化部位瘢痕形成具有重要作用,并常并发心脏肥厚。CF通过调节整合素的表达来适应病理情况下周围环境的变化。CF的培养已被广泛应用为生理(运动)和病理(高血压)应激下心脏基质重塑研究的模型。 人心脏成纤维细胞(HCF)提取于人心脏组织,于原代冻存。每管含有细胞数>5×105cells/ml。此细胞通过纤维连接蛋白抗体免疫荧光检测方法验证。经测试不含有HIV-1、HBV、HCV、支原体、细菌、酵母和真菌。细胞可以达到15倍增。 推荐培养基: 成纤维细胞培养基(FM-2, Cat. #2331) 。产品使用说明:仅供科研研究使用!
风险提示:丁香通仅作为第三方平台,为商家信息发布提供平台空间。用户咨询产品时请注意保护个人信息及财产安全,合理判断,谨慎选购商品,商家和用户对交易行为负责。对于医疗器械类产品,请先查证核实企业经营资质和医疗器械产品注册证情况。
文献和实验1. Bae, H., Lee, D., Kim, Y.W., Choi, J., Lee, H.J., Kim, S.W., Kim, T., Noh, Y.H., Ko, J.H., Bang, H. & Lim, I. (2016) Effects of hydrogen peroxide on voltage-dependent K+ currents in human cardiac fibroblasts through protein kinase pathways Korean J Physiol Pharmacol. 20
2. Meredith, A., Boroomand, S., Carthy, J., Luo, Z. & McManus, B. (2015) 1,25 Dihydroxyvitamin D3 Inhibits TGF?1-Mediated Primary Human Cardiac Myofibroblast ActivationPLoS One. 10
3. Li, J., Zhou, J., Zhang, D., Song, Y., She, J. & Bai, C. (2015) Bone marrow-derived mesenchymal stem cells enhance autophagy via PI3K/AKT signalling to reduce the severity of ischaemia/reperfusion-induced lung injury J Cell Mol Med. 19
4. Watson CJ, Ledwidge MT, Phelan D, Collier P, Byrne JC, Dunn MJ, McDonald KM, Baugh JA. (2011) "Proteomic Analysis of Coronary Sinus Serum Reveals Leucine-Rich {alpha}2-Glycoprotein as a Novel Biomarker of Ventricular Dysfunction and Heart Failure." Circ Heart Fail. 4: 188-97.
5. Chen JB, Tao R, Sun HY, Tse HF, Lau CP, Li GR. (2010) "Multiple Ca2+ signaling pathways regulate intracellular Ca2+ activity in human cardiac fibroblasts." J Cell Physiol. 223: 68-75.
6. Li GR, Sun HY, Chen JB, Zhou Y, Tse HF, Lau CP. (2009) "Characterization of multiple ion channels in cultured human cardiac fibroblasts." PLoS One. 4: e7307.
7. Bunda S, Liu P, Wang Y, Liu K, Hinek A. (2007) "Aldosterone induces elastin production in cardiac fibroblasts through activation of insulin-like growth factor-I receptors in a mineralocorticoid receptor-independent manner." Am J Pathol. 171: 809-19.











