万千商家帮你免费找货
0 人在求购买到急需产品
- 详细信息
- 询价记录
- 文献和实验
- 技术资料
- 英文名:
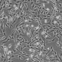
Human Dermal Fibroblasts-adult
- 库存:
999
- 品系:
原代细胞
- 组织来源:
人
- 物种来源:
人
- 器官来源:
皮肤
- 运输方式:
干冰
- 规格:
5 x 10^5 cells/vial
成纤维细胞是来源于中胚层的一种间充质细胞。它被广泛应用于细胞和分子生物学的研究。这主要是因为它是一种较容易培养的,耐受性较好的细胞,可应用于基因转染、显微注射等多种操作。现已证明不同部位的成纤维细胞有着本质的不同,组织里的成纤维细胞处于一种动态的平衡之中,这种平衡影响着健康,以及已愈合软组织的结构完整性。成纤维细胞分泌一种非刚性细胞外基质,其中含有I型和III型胶原质。此外真皮纤维细胞在炎症刺激下还能分泌大量透明质酸。在创伤愈合过程中,真皮成纤维细胞从迁移、再生表型转变为可收缩、基质聚集表型。 人真皮成纤维细胞(成人)提取于人皮肤组织,原代冻存。每管含有细胞数>5x10^5cells/ml,此细胞通过Fibronectin免疫荧光染色验证,经测试不含有HIV-1、HBV、HCV、支原体、细菌、酵母和真菌。细胞可以达到15倍增。 配套培养基: 成纤维细胞培养基(FM, Cat. No. 2301) 产品使用说明:仅供科研研究使用!
风险提示:丁香通仅作为第三方平台,为商家信息发布提供平台空间。用户咨询产品时请注意保护个人信息及财产安全,合理判断,谨慎选购商品,商家和用户对交易行为负责。对于医疗器械类产品,请先查证核实企业经营资质和医疗器械产品注册证情况。
- 作者
- 内容
- 询问日期
文献和实验1. Lee, K.I., Lee, S.Y. & Hwang, D.Y. (2016) Extracellular Matrix-Dependent Generation of Integration- and Xeno-Free iPS Cells Using a Modified mRNA Transfection Method Stem Cells Int. 2016
2. Janmaat, C.J., de Rooij, K.E., Locher, H., de Groot, S.C., de Groot, J., Frijns, J.H.M. & Huisman, M.A. (2015) Human Dermal Fibroblasts Demonstrate Positive Immunostaining for Neuron- and Glia- Specific Proteins PLoS One. 10
3. Rouabhia M, Park H, Meng S, Derbali H, Zhang Z. (2013) "Electrical Stimulation Promotes Wound Healing by Enhancing Dermal Fibroblast Activity and Promoting Myofibroblast Transdifferentiation." PLoS One. 8: e71660.
4. Ploeger DT, Hosper NA, Schipper M, Koerts JA, de Rond S, Bank RA. (2013) "Cell plasticity in wound healing: paracrine factors of M1/ M2 polarized macrophages influence the phenotypical state of dermal fibroblasts." Cell Commun Signal. 11: 29. doi: 10.1186/1478-811X-11-29.
ScienCell Research Laboratories (SRL) takes pride in being a resource for researchers all over the world. The publications listed here are not meant as an endorsement or confirmation of the reliability of the research methods. Our sole intention of sharing the research publications listed here is to provide research related insights and innovations of our products with other researchers.











