相关产品推荐更多 >
万千商家帮你免费找货
0 人在求购买到急需产品
- 详细信息
- 文献和实验
- 技术资料
- 亚型:
IgG
- 形态:
液体
- 保存条件:
+4°C 下储存
- 克隆性:
多克隆
- 适应物种:
鼠
- 库存:
大量
- 供应商:
北京百奥创新科技有限公司
- 宿主:
山羊
- 应用范围:
IHC-P、ELISA、WB、ICC
- 抗体英文名:
Goat Anti-Mouse IgG2a heavy chain (HRP)
- 抗体名:
Goat Anti-Mouse IgG2a heavy chain (HRP)
- 规格:
1mg
产品货号:Ab97245
产品规格:1mg
保存条件:保存于-20℃
形态:液体
应用范围:WB, IHC, IF/ICC, ELISA
保质期:按说明书条件可保存1-2年
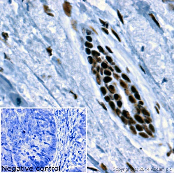
IHC image of SSB staining in Human breast adenocarcinoma formalin fixed paraffin embedded tissue section*. The section was pre-treated using pressure cooker heat mediated antigen retrieval with sodium citrate buffer (pH6) for 30mins. The section was incubated with ab75927, 0.5µg/ml overnight at +4°C. An HRP-conjugated secondary (Ab97245, 1/200 dilution) was used for 1hr at room temperature. The section was counterstained with haematoxylin and mounted with DPX.
The inset negative control image is taken from an identical assay without primary antibody.
*Tissue obtained from the Human Research Tissue Bank, supported by the NIHR Cambridge Biomedical Research Centre
风险提示:丁香通仅作为第三方平台,为商家信息发布提供平台空间。用户咨询产品时请注意保护个人信息及财产安全,合理判断,谨慎选购商品,商家和用户对交易行为负责。对于医疗器械类产品,请先查证核实企业经营资质和医疗器械产品注册证情况。
文献和实验
技术资料








