相关产品推荐更多 >
万千商家帮你免费找货
0 人在求购买到急需产品
- 详细信息
- 文献和实验
- 技术资料
- 免疫原:
Purified CD44 antigen (PGp-1) from lymphocyte membrane
- 亚型:
IgG1
- 形态:
Liquid
- 保存条件:
Store as concentrated solution. Centrifuge briefly prior to opening vial. For short-term storage (1-2 weeks), store at 4ºC. For long-term storage, aliquot and store at -20ºC or below. Avoid multiple freeze-thaw cycles.
- 克隆性:
Monoclonal
- 标记物:
Unconjugated
- 适应物种:
Human, Mouse
- 保质期:
12 months from the shipping date of the product.
- 目录编号:
GTX34517
- 级别:
Primary Antibodies
- 库存:
Available
- 供应商:
GeneTex
- 宿主:
Mouse
- 应用范围:
ICC/IF, IHC-P, FACS
- 浓度:
0.2 mg/ml (Please refer to the vial label for the specific concentration.)
- 靶点:
This antibody's epitope is resistant to digestion by trypsin and chymotrypsin.
- 抗体英文名:
CD44 antibody [DF1485]
- 抗体名:
CD44 抗体 [DF1485]
- 规格:
100 μg
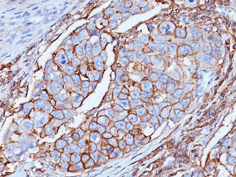
IHC-P analysis of human breast tissue using GTX34517 CD44 antibody [DF1485].
ICC/IF analysis of HeLa cells using GTX34517 CD44 antibody [DF1485].
Green : Primary antibody
Red : nucleus
风险提示:丁香通仅作为第三方平台,为商家信息发布提供平台空间。用户咨询产品时请注意保护个人信息及财产安全,合理判断,谨慎选购商品,商家和用户对交易行为负责。对于医疗器械类产品,请先查证核实企业经营资质和医疗器械产品注册证情况。
文献和实验上海西唐生物科技有限公司 021-55229872, 65333639 www.westang.com 大鼠可溶性 CD44(sCD44)ELISA 试剂盒 ( 用于血清、血浆、细胞培养上清液和其它生物体液内 ) 原理 本实验采用双抗体夹心 ABC-ELISA 法。用抗大鼠 sCD44 单抗包被于酶标板上,标准品和样品中的 sCD44 与单抗结合,加入生物素化的抗大鼠 sCD44 ,形成免疫
人可溶性CD44v6(sCD44v6)ELISA试剂盒 说明书
上海西唐生物科技有限公司 021-55229872, 65333639 www.westang.com 人可溶性CD44v6 (sCD44v6)ELISA 试剂盒 ( 用于血清、血浆、细胞培养上清液和其它生物体液内 ) 原理 本实验采用双抗体夹心 ABC-ELISA 法。用抗人 sCD44v6 单抗包被于酶标板上,标准品和样品中的 sCD44v6与单抗结合,加入生物素化的抗人
A Method to Isolate, Purify, and Characterize Human Periodontal Ligament Stem Cells
on the expression of MSC-associated surface markers STRO-1 antigen, CD146 (MUC-18), CD29 (integrin β-1), CD44, and CD106 (VCAM-1). Although no single antibody demonstrates specificity for MSCs, isolation based on the expression of individual markers results
技术资料暂无技术资料 索取技术资料







