相关产品推荐更多 >
万千商家帮你免费找货
0 人在求购买到急需产品
- 详细信息
- 文献和实验
- 技术资料
- 免疫原:
Recombinant fragment covering tandem repeats of human MUC6 protein (exact sequence is proprietary)
- 亚型:
IgG1
- 形态:
Liquid
- 保存条件:
Store as concentrated solution. Centrifuge briefly prior to opening vial. For short-term storage (1-2 weeks), store at 4ºC. For long-term storage, aliquot and store at -20ºC or below. Avoid multiple freeze-thaw cycles.
- 克隆性:
Monoclonal
- 标记物:
Unconjugated
- 适应物种:
Human
- 保质期:
12 months from the shipping date of the product.
- 抗原来源:
Human
- 目录编号:
GTX34876
- 级别:
Primary Antibodies
- 库存:
Available
- 供应商:
GeneTex
- 宿主:
Mouse
- 应用范围:
IHC-P
- 浓度:
0.2 mg/ml (Please refer to the vial label for the specific concentration.)
- 靶点:
We do not recommend use of this product for Rat.
- 抗体英文名:
Mucin 6 antibody [MUC6/916]
- 抗体名:
Mucin 6 抗体 [MUC6/916]
- 规格:
100 μg
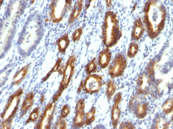
IHC-P analysis of human gastric carcinoma tissue using GTX34876 Mucin 6 antibody [MUC6/916].
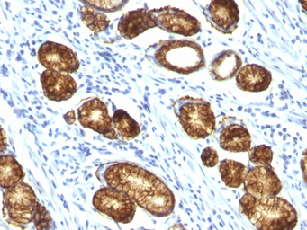
IHC-P analysis of human gastric carcinoma tissue using GTX34876 Mucin 6 antibody [MUC6/916].
风险提示:丁香通仅作为第三方平台,为商家信息发布提供平台空间。用户咨询产品时请注意保护个人信息及财产安全,合理判断,谨慎选购商品,商家和用户对交易行为负责。对于医疗器械类产品,请先查证核实企业经营资质和医疗器械产品注册证情况。
文献和实验with pancreatic cancer (1,2), and these mucins may express a wide range of different carbohydrate structures The detection and quantification of mucin can be used in serological diagnosis of the disease.
Studying Mucin Secretion from Human Bronchial Epithelial Cell Primary Cultures
microtiter plate binding assays which use various probes for mucins. A polymeric mucin-specific antibody is used in standard and sandwich ELISA formats for two assays while the others target the extensive glycosylated domains of mucins with lectin, periodate
Detecting, Visualising, and Quantifying Mucins
to mucin detection, using antibody, chemical, and lectin detection methods, allows important information to be gleaned regarding the size, extent of glycosylation, specific mucin species, and distribution of mucins within a given sample. In this chapter
技术资料暂无技术资料 索取技术资料








