相关产品推荐更多 >
万千商家帮你免费找货
0 人在求购买到急需产品
- 详细信息
- 文献和实验
- 技术资料
- 免疫原:
A peptide corresponding to BRAF V600E mutant
- 亚型:
IgG
- 形态:
Liquid
- 保存条件:
Store as concentrated solution. Centrifuge briefly prior to opening vial. For short-term storage (1-2 weeks), store at 4ºC. For long-term storage, aliquot and store at -20ºC or below. Avoid multiple freeze-thaw cycles.
- 克隆性:
Monoclonal
- 标记物:
Unconjugated
- 适应物种:
Human
- 保质期:
12 months from the shipping date of the product.
- 抗原来源:
Human
- 目录编号:
GTX33595
- 级别:
Primary Antibodies
- 库存:
Available
- 供应商:
GeneTex
- 宿主:
Rabbit
- 应用范围:
WB, ICC/IF, IHC-P, ELISA
- 浓度:
Batch dependent (Please refer to the vial label for the specific concentration.)
- 靶点:
This antibody reacts to the BRAF V600E mutant. No cross reactivity with wild type BRAF.
- 抗体英文名:
B-Raf (V600E Mutant Specific) antibody [RM8]
- 抗体名:
B-Raf (V600E Mutant Specific) 抗体 [RM8]
- 规格:
100 μg
WB analysis of cells expressing endogenous mutant (V600E) BRAF or wild type (WT) protein using GTX33595 B-Raf (V600E Mutant Specific) antibody [RM8].
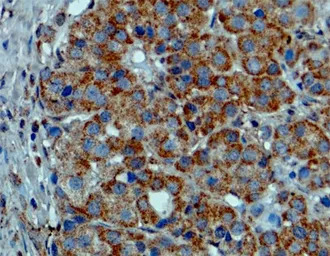
IHC-P analysis of thyroid Carcinoma tissue using GTX33595 B-Raf (V600E Mutant Specific) antibody [RM8].
IHC-P analysis of melanoma tissue using GTX33595 B-Raf (V600E Mutant Specific) antibody [RM8].
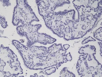
IHC-P analysis of formalin fixed and paraffin embedded sections of SW40 cells (B-Raf Wide type) using GTX33595 B-Raf (V600E Mutant Specific) antibody [RM8].
IHC-P analysis of thyroid Carcinoma tissue using GTX33595 B-Raf (V600E Mutant Specific) antibody [RM8].
IHC-P analysis of formalin fixed and paraffin embedded sections of WiDr cells (B-Raf V600E mutant) using GTX33595 B-Raf (V600E Mutant Specific) antibody [RM8].
风险提示:丁香通仅作为第三方平台,为商家信息发布提供平台空间。用户咨询产品时请注意保护个人信息及财产安全,合理判断,谨慎选购商品,商家和用户对交易行为负责。对于医疗器械类产品,请先查证核实企业经营资质和医疗器械产品注册证情况。
文献和实验Hansen CH et al., Proc Natl Acad Sci U S A 2017 (PMID:28893984)
Makboul R et al., Nucl Med Commun 2020 (PMID:32168263)
Monitoring Oncogenic B-RAF-Induced Senescence in Melanocytes
The B-RAF kinase is a downstream effector of the RAS family of proto-oncogenes and is constitutively activated in the majority of human melanomas. The common oncogenic B-RAFV600E mutant cooperates with additional genetic lesions to transform
Analysis of Antigen-Specific B-Cell Memory Directly Ex Vivo
into plasma cells to produce the high-titer, high-affinity antibody(Ab) that typifies the memory B-cell response in vivo. We have devised a high-resolution flow cytometric strategy to quantify the emergence and maintenance of antigen-specific memory B cells
Specific allergen immunotherapy is an effective treatment for IgE-mediated allergic disease and involves T- and B-cell mediated events. IgE receptors on the surface of antigen-presenting cells facilitate the presentation of allergens
技术资料暂无技术资料 索取技术资料







