相关产品推荐更多 >
万千商家帮你免费找货
0 人在求购买到急需产品
- 详细信息
- 文献和实验
- 技术资料
- 免疫原:
Recombinant fusion protein containing a sequence corresponding to amino acids 1364-1663 of human C3 (NP_000055.2).
- 亚型:
IgG
- 形态:
Liquid
- 保存条件:
Store as concentrated solution. Centrifuge briefly prior to opening vial. For short-term storage (1-2 weeks), store at 4ºC. For long-term storage, aliquot and store at -20ºC or below. Avoid multiple freeze-thaw cycles.
- 克隆性:
Polyclonal
- 标记物:
Unconjugated
- 适应物种:
Human, Mouse, Rat
- 保质期:
12 months from the shipping date of the product.
- 抗原来源:
Human
- 目录编号:
GTX33050
- 级别:
Primary Antibodies
- 库存:
Available
- 供应商:
GeneTex
- 宿主:
Rabbit
- 应用范围:
WB, IHC-P
- 浓度:
Batch dependent (Please refer to the vial label for the specific concentration.)
- 靶点:
C3 / C3c
- 抗体英文名:
C3 / C3c antibody
- 抗体名:
C3 / C3c 抗体
- 规格:
100 μl
IHC-P analysis of rat liver tissue using GTX33050 C3 / C3c antibody.
Blue : DAPI
Dilution : 1:100
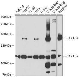
WB analysis of various sample lysates using GTX33050 C3 / C3c antibody.
Dilution : 1:1000
Loading : 25μg per lane
IHC-P analysis of rat liver tissue using GTX33050 C3 / C3c antibody.
Dilution : 1:200
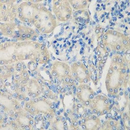
IHC-P analysis of rat kidney tissue using GTX33050 C3 / C3c antibody.
Dilution : 1:200
IHC-P analysis of human liver cancer tissue using GTX33050 C3 / C3c antibody.
Blue : DAPI
Dilution : 1:100
WB analysis of various sample lysates using GTX33050 C3 / C3c antibody.
Dilution : 1:1000
Loading : 25μg per lane
IHC-P analysis of mouse liver tissue using GTX33050 C3 / C3c antibody.
Blue : DAPI
Dilution : 1:100
风险提示:丁香通仅作为第三方平台,为商家信息发布提供平台空间。用户咨询产品时请注意保护个人信息及财产安全,合理判断,谨慎选购商品,商家和用户对交易行为负责。对于医疗器械类产品,请先查证核实企业经营资质和医疗器械产品注册证情况。
文献和实验的或自身的)。通过上述转酯反应而获得结合活性的C3b可与c 4b2a结合形成经典途径的C5转化酶(C4b2a3b),或与Bb结合形成替代途径的C3转化酶(C3bBb)和C5转化酶(C 3bnBbC3b也可在H因子和I因子的作用下,变为无活性的C3bi,并再I因子裂解为C3dg和C3c(图5-8)。C3d可能是C3裂解的最终产物,只有在细菌或炎灶分解产物的作用下,才能裂解为C3d和C3c。还报道有C3e片段,可能来源于C3c。 C3各个裂解片段的生物学活性不一。C3a为过敏毒素,能直接作用于肥大
C3是补体二条激活途径的关键分子,C3活化后裂解为C3a、C3b两个片段,C3a很快被血清羧肽酶N裂解为C3adesarg,C3b被H、I因子灭活为C3bi,经蛋白酶水解为C3c、C3d、C3dg等,检测这些裂解产物即可反映C3的活化程度。C3a的定量检测采用竞争性抑制放射免疫法。其原理为用“I标记C3(I-C3)”与待测样本、兔抗人C3a多克隆抗体一起孵育,待测样本中的C3a(未标记抗原)能竞争性地与抗C3a结合,使C3a复合物(B)增多,而“I-C3”游离出来(F),根据B%来判断待测样本
补体成分 C3(C3a/C3b) 补体成分:C3 血清浓度(μg/ml):550-1200 分子量(kDa):195 亚单位(链)及分子量(kDa):α∶110;β∶85 激活产物:C3a;C3b 生物学活性:C3a 过敏毒素、趋化作用等。 C3b 组成CP、AP中的C3、C5转化
技术资料暂无技术资料 索取技术资料





![Insulin antibody [HL1393]](https://img1.dxycdn.com/2023/0711/058/8406876405285858761-14.jpg!wh200)
![CYB5R3 antibody [1E3]](https://img1.dxycdn.com/2023/0711/451/6106825198874858761-14.jpg!wh200)


