相关产品推荐更多 >
万千商家帮你免费找货
0 人在求购买到急需产品
- 详细信息
- 文献和实验
- 技术资料
- 免疫原:
Recombinant fusion protein containing a sequence corresponding to amino acids 394-693 of human GMPS (NP_003866.1).
- 亚型:
IgG
- 形态:
Liquid
- 保存条件:
Store as concentrated solution. Centrifuge briefly prior to opening vial. For short-term storage (1-2 weeks), store at 4ºC. For long-term storage, aliquot and store at -20ºC or below. Avoid multiple freeze-thaw cycles.
- 克隆性:
Polyclonal
- 标记物:
Unconjugated
- 适应物种:
Human, Mouse, Rat
- 保质期:
12 months from the shipping date of the product.
- 抗原来源:
Human
- 目录编号:
GTX33223
- 级别:
Primary Antibodies
- 库存:
Available
- 供应商:
GeneTex
- 宿主:
Rabbit
- 应用范围:
WB, IP
- 浓度:
Batch dependent (Please refer to the vial label for the specific concentration.)
- 靶点:
GMP synthase
- 抗体英文名:
GMP synthase antibody
- 抗体名:
GMP synthase 抗体
- 规格:
100 μl
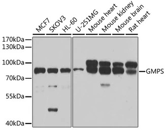
WB analysis of various sample lysates using GTX33223 GMP synthase antibody.
Dilution : 1:1000
Loading : 25μg per lane
IP analysis of MCF-7 cell lysate using GTX33223 GMP synthase antibody.
Antibody amount : 3μg / 200μg lysate
Dilution : 1:1000
风险提示:丁香通仅作为第三方平台,为商家信息发布提供平台空间。用户咨询产品时请注意保护个人信息及财产安全,合理判断,谨慎选购商品,商家和用户对交易行为负责。对于医疗器械类产品,请先查证核实企业经营资质和医疗器械产品注册证情况。
文献和实验Determination of NOS Activity Using Cyclic-GMP Formation
Nitric oxide (NO) produced from L -arginine during the activation of nitric oxide synthase(s) (NOS) in cells has pleiotropic effects and can behave as an intracellular modulator of cellular activity, as well as an intercellular messenger
for tumor-specific targeting by retrovectors. The conventional suicidal gene delivery systems need additional drugs other than their gene products. The inducible nitric oxide synthase (iNOS) gene product yields nitric oxide (NO), which directly induces
the immortalized human megakaryoblastic cell line MEG-01, which can be induced to differentiate into platelet-like structures upon addition of TPA as a model system to study PGHS-1 gene expression. Using a specific antibody to PGHS-1 we have developed a technique
技术资料暂无技术资料 索取技术资料





![UQCRC1 antibody [N1N3]](https://img1.dxycdn.com/2023/0711/255/2344116916935858761-14.jpg!wh200)
![Nucleoporin p62 antibody [RL31]](https://img1.dxycdn.com/2023/0711/451/6106825198874858761-14.jpg!wh200)


