相关产品推荐更多 >
万千商家帮你免费找货
0 人在求购买到急需产品
- 详细信息
- 文献和实验
- 技术资料
- 免疫原:
Full length human recombinant ERManI [Swiss-Prot# Q9UKM7].
- 亚型:
IgG1
- 形态:
Liquid
- 保存条件:
Store as concentrated solution. Centrifuge briefly prior to opening vial. For short-term storage (1-2 weeks), store at 4ºC. For long-term storage, aliquot and store at -20ºC or below. Avoid multiple freeze-thaw cycles.
- 克隆性:
Monoclonal
- 标记物:
Unconjugated
- 适应物种:
Human
- 保质期:
12 months from the shipping date of the product.
- 抗原来源:
Human
- 目录编号:
GTX03413
- 级别:
Primary Antibodies
- 库存:
Available
- 供应商:
GeneTex
- 宿主:
Mouse
- 应用范围:
WB, ICC/IF, IHC-P, IP, ELISA
- 浓度:
1 mg/ml (Please refer to the vial label for the specific concentration.)
- 靶点:
We do not recommend use of this product for Mouse.,Knockdown/Knockout validation was supported by references (PMID: 26205822).
- 抗体英文名:
MAN1B1 antibody [3C2]
- 抗体名:
MAN1B1 抗体 [3C2]
- 规格:
100 μl
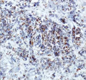
IHC-P analysis of human breast cancer using GTX03413 MAN1B1 antibody [3C2].
ICC/IF analysis of HeLa cells using GTX03413 MAN1B1 antibody [3C2].
Green : Primary antibody
Red : alpha tubulin
Blue : DAPI
WB analysis of various sample lysates using GTX03413 MAN1B1 antibody [3C2].
Lane 1 : NTERA-2 whole cell lysate
Lane 2 : A431 whole cell lysate
风险提示:丁香通仅作为第三方平台,为商家信息发布提供平台空间。用户咨询产品时请注意保护个人信息及财产安全,合理判断,谨慎选购商品,商家和用户对交易行为负责。对于医疗器械类产品,请先查证核实企业经营资质和医疗器械产品注册证情况。
文献和实验T Zhou et al. et al., J Biol Chem 2015 (PMID:26205822)
技术资料暂无技术资料 索取技术资料









