相关产品推荐更多 >
万千商家帮你免费找货
0 人在求购买到急需产品
- 详细信息
- 技术资料
- 免疫原:
Recombinant Human TROP2 protein
- 亚型:
IgG1
- 形态:
Liquid
- 保存条件:
Store as concentrated solution. Centrifuge briefly prior to opening vial. For short-term storage (1-2 weeks), store at 4ºC. For long-term storage, aliquot and store at -20ºC or below. Avoid multiple freeze-thaw cycles.
- 克隆性:
Monoclonal
- 标记物:
Unconjugated
- 适应物种:
Human
- 保质期:
12 months from the shipping date of the product.
- 抗原来源:
Human
- 目录编号:
GTX02145
- 级别:
Primary Antibodies
- 库存:
Available
- 供应商:
GeneTex
- 宿主:
Mouse
- 应用范围:
ICC/IF, IHC-P
- 浓度:
Batch dependent (Please refer to the vial label for the specific concentration.)
- 靶点:
No cross-reactivity with human CD239 protein, human CD106 protein, human CD54 protein, human CD146 protein, human CD171 protein, and human CD324 protein in ELISA assay.
- 抗体英文名:
TACSTD2 antibody [8C6C1D7]
- 抗体名:
TACSTD2 抗体 [8C6C1D7]
- 规格:
100 μl
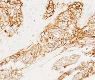
IHC-P analysis of human mammary gland tissue section using GTX02145 TACSTD2 antibody [8C6C1D7].
Dilution : 1:200
ICC/IF analysis of PFA-fixed MCF-7 cells using GTX02145 TACSTD2 antibody [8C6C1D7].
Green : Primary antibody
Dilution : 1:60
IHC-P analysis of human rectal cancer tissue section using GTX02145 TACSTD2 antibody [8C6C1D7].
Dilution : 1:200
IHC-P analysis of human placenta tissue section using GTX02145 TACSTD2 antibody [8C6C1D7].
Dilution : 1:60
风险提示:丁香通仅作为第三方平台,为商家信息发布提供平台空间。用户咨询产品时请注意保护个人信息及财产安全,合理判断,谨慎选购商品,商家和用户对交易行为负责。对于医疗器械类产品,请先查证核实企业经营资质和医疗器械产品注册证情况。
技术资料暂无技术资料 索取技术资料









