相关产品推荐更多 >
万千商家帮你免费找货
0 人在求购买到急需产品
- 详细信息
- 文献和实验
- 技术资料
- 免疫原:
Recombinant human IFNA1 protein.
- 亚型:
IgG1
- 形态:
Liquid
- 保存条件:
Store as concentrated solution. Centrifuge briefly prior to opening vial. For short-term storage (1-2 weeks), store at 4ºC. For long-term storage, aliquot and store at -20ºC or below. Avoid multiple freeze-thaw cycles.
- 克隆性:
Monoclonal
- 标记物:
Unconjugated
- 适应物种:
Human
- 保质期:
12 months from the shipping date of the product.
- 抗原来源:
Human
- 目录编号:
GTX03591
- 级别:
Primary Antibodies
- 库存:
Available
- 供应商:
GeneTex
- 宿主:
Mouse
- 应用范围:
WB, IHC-P
- 浓度:
0.2 mg/ml (Please refer to the vial label for the specific concentration.)
- 靶点:
This antibody is specific for human interferon alpha 1 and does not cross react with human interferon alpha 2.
- 抗体英文名:
Interferon alpha 1 antibody [IFNA/6689]
- 抗体名:
Interferon alpha 1 抗体 [IFNA/6689]
- 规格:
100 μg
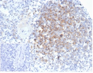
IHC-P analysis of human spleen tissue using GTX03591 Interferon alpha 1 antibody [IFNA/6689].
Dilution : 2μg/ml
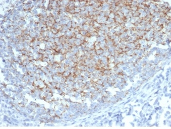
IHC-P analysis of human tonsil tissue using GTX03591 Interferon alpha 1 antibody [IFNA/6689].
Antigen retrieval : HIER by Tris/EDTA (pH9.0), 45min
Dilution : 2μg/ml
风险提示:丁香通仅作为第三方平台,为商家信息发布提供平台空间。用户咨询产品时请注意保护个人信息及财产安全,合理判断,谨慎选购商品,商家和用户对交易行为负责。对于医疗器械类产品,请先查证核实企业经营资质和医疗器械产品注册证情况。
文献和实验motifs located prevalently in the 3′ untranslated regions of target messenger RNAs (mRNA). Interferon-alpha-2a (IFNα) induces a large set of protein coding genes mediating antiproliferative and antiviral responses. Here we use a global microarray-based
[资源] 所有的看家基因(housekeeping genes)列表+引物设计服务
acyltransferase, alpha) (AGPAT1), mRNA 742 NM_021134 Homo sapiens mitochondrial ribosomal protein L23 (MRPL23), mRNA 771 NM_021974 Homo sapiens polymerase (RNA) II (DNA directed) polypeptide F (POLR2F), mRNA 1169 NM_006808 Homo sapiens protein
CANDOR BIOSCIENCE: 关于ELISA板稳定性的技术探讨与比较
物稳定剂,例如CANDOR的Antibody Stabilizer、HRP-Protector™和AP-Protector®,可以大大提高对照品和检测抗体-结合物的稳定性。本文以ELISAs为例,重点讨论固相稳定、表面包被捕获分子的活性维持的机理和解决方案。此外,本文概述的原理和解决方案也可以应用于其他包被表面,如聚苯乙烯或玻璃表面的实验应用,如侧向层析、亲和柱、基于微球的分析、免疫PCR或蛋白质分析等。 包被的捕获分子如抗体,或在抗原下降分析中分离的病毒蛋白,是可靠免疫分析的核心组成
技术资料暂无技术资料 索取技术资料






![Beclin 1 antibody [5C2]](https://img1.dxycdn.com/2023/0711/451/6106825198874858761-14.jpg!wh200)
