相关产品推荐更多 >
万千商家帮你免费找货
0 人在求购买到急需产品
- 详细信息
- 文献和实验
- 技术资料
- 免疫原:
A synthesized peptide derived from human GAPDH
- 亚型:
IgG
- 形态:
Liquid
- 保存条件:
Store as concentrated solution. Centrifuge briefly prior to opening vial. For short-term storage (1-2 weeks), store at 4ºC. For long-term storage, aliquot and store at -20ºC or below. Avoid multiple freeze-thaw cycles.
- 克隆性:
Monoclonal
- 标记物:
Unconjugated
- 适应物种:
Human, Mouse, Rat
- 保质期:
12 months from the shipping date of the product.
- 抗原来源:
Human
- 目录编号:
GTX03407
- 级别:
Primary Antibodies
- 库存:
Available
- 供应商:
GeneTex
- 宿主:
Rabbit
- 应用范围:
WB, ICC/IF, IHC-P
- 浓度:
Batch dependent (Please refer to the vial label for the specific concentration.)
- 靶点:
GAPDH
- 抗体英文名:
GAPDH antibody [GT1355]
- 抗体名:
GAPDH 抗体 [GT1355]
- 规格:
100 μl
ICC/IF analysis of NIH-3T3 cells using GTX03407 GAPDH antibody [GT1355].
Red : Primary antibody
Blue : DAPI for nuclear staining
Dilution : 1:100
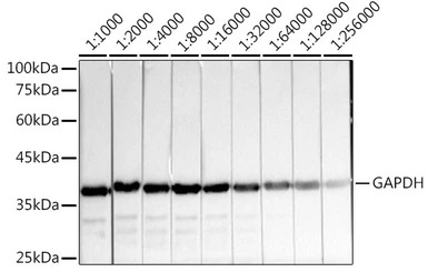
WB analysis of HeLa cell lysates using serially diluted GTX03407 GAPDH antibody [GT1355].
Loading : 25μg per lane
WB analysis of various sample lysates using GTX03407 GAPDH antibody [GT1355].
Dilution : 1:1000
Loading : 25μg per lane
ICC/IF analysis of C6 cells using GTX03407 GAPDH antibody [GT1355].
Red : Primary antibody
Blue : DAPI for nuclear staining
Dilution : 1:100
WB analysis of various sample lysates using GTX03407 GAPDH antibody [GT1355].
Dilution : 1:10000
Loading : 25μg per lane
IHC-P analysis of human placenta tissue using GTX03407 GAPDH antibody [GT1355].
Antigen retrieval : Microwave antigen retrieval with 10 mM PBS buffer pH 7.2
Dilution : 1:100
风险提示:丁香通仅作为第三方平台,为商家信息发布提供平台空间。用户咨询产品时请注意保护个人信息及财产安全,合理判断,谨慎选购商品,商家和用户对交易行为负责。对于医疗器械类产品,请先查证核实企业经营资质和医疗器械产品注册证情况。
文献和实验GAPDH抗体|GAPDH抗体大全-艾美捷指导您购买合适的GAPDH抗体
,但是进口品牌如Abcam、Millipore、CST等价格偏高,一般在¥3000/100ul左右。下面我们为您推荐三款GAPDH原装进口抗体,分别是美国EarthOx和ProteinTech的产品。EarthOx的Anti-GAPDH Monoclonal Antibody (货号E021010 )是小鼠源的单抗,其效价很高,厂商推荐的WB起始稀释比率为1:1000,实际应用过程中,有使用1:10000或更高的报告,远远高于此稀释比率,说明其免疫效价很高,另外,其检测种属也很多,包括人、牛、猪、小鼠
IMMUNOSCREENING OF LAMBDA-GT11 BACTERIOPHAGE LIBRARIES WITH ANTIBODY PROBES
dishes of lysed E. coli to reduce anti-E. coli antibody background. These antibodies are present in all human sera, rabbit sera, and rodent sera. For each Petri dish containing solidified LB agar, mix 0.6ml of the Y1090 overnight-saturated culture with 30
Antibody Screening of Bacteriophage gt11 DNA Expression Libraries
Much of our current understanding of the molecular details of the activity and interactions of proteins has stemmed from the ability to isolate cDNA encoding these proteins. Computer-based analysis of deduced amino acid sequence allows
技术资料暂无技术资料 索取技术资料





![CTLA4 antibody [BNI3] (PE)](https://custom.dxycdn.com/trademd/upload/pic/2011/12/14/1323695845.jpg!small.t.1)
![Bacillus cereus phospholipase C antibody [bc-01]](https://img1.dxycdn.com/2023/0711/451/6106825198874858761-14.jpg!wh200)

![CD162 antibody [TB5]](https://custom.dxycdn.com/trademd/upload/pic/2011/12/14/1323695840.jpg!small.t.1)

