相关产品推荐更多 >
万千商家帮你免费找货
0 人在求购买到急需产品
- 详细信息
- 文献和实验
- 技术资料
- 免疫原:
A phospho specific peptide corresponding to residues surrounding S36 of human IκBα.
- 亚型:
IgG
- 形态:
Liquid
- 保存条件:
Store as concentrated solution. Centrifuge briefly prior to opening vial. For short-term storage (1-2 weeks), store at 4ºC. For long-term storage, aliquot and store at -20ºC or below. Avoid multiple freeze-thaw cycles.
- 克隆性:
Monoclonal
- 标记物:
Unconjugated
- 适应物种:
Human, Mouse, Rat
- 保质期:
12 months from the shipping date of the product.
- 抗原来源:
Human
- 目录编号:
GTX03210
- 级别:
Primary Antibodies
- 库存:
Available
- 供应商:
GeneTex
- 宿主:
Rabbit
- 应用范围:
WB, IHC-P
- 浓度:
0.39 mg/ml (Please refer to the vial label for the specific concentration.)
- 靶点:
IKB alpha (phospho Ser36)
- 抗体英文名:
IKB alpha (phospho Ser36) antibody [GT1298]
- 抗体名:
IKB alpha (phospho Ser36) 抗体 [GT1298]
- 规格:
100 μl
Untreated (–) and treated (+) HeLa whole cell extracts (30 μg) were separated by 10% SDS-PAGE, and the membrane was blotted with IKB alpha (phospho Ser36) antibody [GT1298] (GTX03210) diluted at 1:500. The HRP-conjugated anti-rabbit IgG antibody (GTX213110-01) was used to detect the primary antibody.
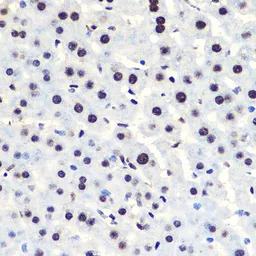
IHC-P analysis of mouse liver tissue section using GTX03210 IKB alpha (phospho Ser36) antibody [GT1298].
Dilution : 1:100
IHC-P analysis of human colon tissue section using GTX03210 IKB alpha (phospho Ser36) antibody [GT1298].
Dilution : 1:100
WB analysis of THP-1 cells were treated by PMA/TPA (80 nM) at 37ºC for overnight or treated by LPS (1 μg/mL) at 37ºC for 6 hours using GTX03210 IKB alpha (phospho Ser36) antibody [GT1298].
Dilution : 1:1000
Loading : 25μg per lane
WB analysis of NIH-3T3 cells were treated by TNF-α (20 ng/mL) at 37ºC for 30 minutes using GTX03210 IKB alpha (phospho Ser36) antibody [GT1298].
Dilution : 1:1000
Loading : 25μg per lane
IHC-P analysis of rat ovary tissue section using GTX03210 IKB alpha (phospho Ser36) antibody [GT1298].
Dilution : 1:100
WB analysis of C6 cells were treated by TNF-α (20 ng/mL) at 37ºC for 30 minutes using GTX03210 IKB alpha (phospho Ser36) antibody [GT1298].
Dilution : 1:1000
Loading : 25μg per lane
风险提示:丁香通仅作为第三方平台,为商家信息发布提供平台空间。用户咨询产品时请注意保护个人信息及财产安全,合理判断,谨慎选购商品,商家和用户对交易行为负责。对于医疗器械类产品,请先查证核实企业经营资质和医疗器械产品注册证情况。
文献和实验Using Phospho‐Motif Antibodies to Determine Kinase Substrates
comprising both the phosphorylated residue and the surrounding residues that determine kinase specificity, with degenerate residues taking up the remaining positions. Currently, several categories of phospho?motif antibody are commercially available
使用 ProteOn XPR36 蛋白相互作用阵列系统 分析抗体 - 膜结合蛋白以及蛋白 - 脂类物质间的相互作用 介绍: 研究细胞膜、膜结合蛋白和抗体间的相互作用以及这些作用的互相影响是药物研发中非常值得关注的事情。膜蛋白和膜相关蛋白以及多肽类物质在很多生物过程中的地位都非常重要,同时还参与到一些诸如癌症等疾病的关键信号通路中。因此,膜蛋白正迅速成为下一代药物靶点分子大类。 ProteOn XPR36 蛋白相互作用阵列系统基于表面
kinase is KIR 3.1 and have developed a phospho-selective antibody against the Y12 motif of this channel. Much like KOR and p38 MAP kinase, phosphorylation of this potassium channel increases following repeated stress. The following chapter discusses
技术资料暂无技术资料 索取技术资料





![Cytokeratin 34 antibody [N1C2]](https://img1.dxycdn.com/2023/0516/045/6925717576889828561-14.jpg!wh200)



