相关产品推荐更多 >
万千商家帮你免费找货
0 人在求购买到急需产品
- 详细信息
- 文献和实验
- 技术资料
- 免疫原:
A synthetic peptide from the N-terminal of human p40 protein
- 亚型:
IgG
- 形态:
Liquid
- 保存条件:
Store as concentrated solution. Centrifuge briefly prior to opening vial. Store at 4ºC.
- 克隆性:
Monoclonal
- 标记物:
Unconjugated
- 适应物种:
Human
- 保质期:
12 months from the shipping date of the product.
- 抗原来源:
Human
- 目录编号:
GTX02728
- 级别:
Primary Antibodies
- 库存:
Available
- 供应商:
GeneTex
- 宿主:
Rabbit
- 应用范围:
ICC/IF, IHC-P, FACS
- 浓度:
200 μg/ml (Please refer to the vial label for the specific concentration.)
- 靶点:
This antibody is specific for delta-Np63 (DNp63) isoform.
- 抗体英文名:
p63 antibody [TP40/3980R]
- 抗体名:
p63 抗体 [TP40/3980R]
- 规格:
100 μg
FACS analysis of PFA-fixed HeLa cells using GTX02728 p63 antibody [TP40/3980R].
Blue : Primary antibody
Red : Isotype control
ICC/IF analysis of PFA-fixed HeLa cells using GTX02728 p63 antibody [TP40/3980R].
Green : Primary antibody
Red : Phalloiden (membrane)
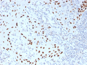
IHC-P analysis of human skin tissue section using GTX02728 p63 antibody [TP40/3980R].
风险提示:丁香通仅作为第三方平台,为商家信息发布提供平台空间。用户咨询产品时请注意保护个人信息及财产安全,合理判断,谨慎选购商品,商家和用户对交易行为负责。对于医疗器械类产品,请先查证核实企业经营资质和医疗器械产品注册证情况。
文献和实验Single Primer ("Semi-Random") P
to about 1 ng/µL 3 µL "T/TS" @ 0.4 u Taq/µL -------- 30 µL Cycle as follows: 30"x94°C 20 cycles 0"x94°C 0"x55°C 1'x72° S=9 30 cycles 0"x94°C 0"x40°C 1'x72° S=6 30 cycles 0"x94°C 0"x55°C 1'x72° S=9 Clean up: Add 1 µL ExoI
The production of monoclonal antibody by hybridoma
, A., Popkov, M., Cortez, X., Fuller, R., Elia, M., Kerwin, L., and C.F. Barbas III. (2003) Rapid monoclonal antibody generation via dendritic cell targeting in vivo. Hybridoma and Hybridomics 22 (1), 23-31.
) (HY-P80983) www.medchemexpress.cn/antibody/cdx2-antibody.html 兔来源、无偶联标记、抗 CDX2 的 IgG 单克隆抗体。 p63 Antibody (YA1531) (HY-P81786) www.medchemexpress.cn/antibody/p63-antibody-ya1531.html 兔来源、无偶联标记、抗 p63 的 IgG 单克隆抗体。 FOLR1 Antibody (YA1099) (HY-P
技术资料暂无技术资料 索取技术资料






![alpha Smooth Muscle Actin antibody [αsm-1]](https://img1.dxycdn.com/2023/0711/451/6106825198874858761-14.jpg!wh200)
![Thyroid Hormone Receptor beta antibody [N1N3]](https://img1.dxycdn.com/2023/0711/255/2344116916935858761-14.jpg!wh200)


