相关产品推荐更多 >
万千商家帮你免费找货
0 人在求购买到急需产品
- 详细信息
- 文献和实验
- 技术资料
- 免疫原:
Prokaryotic recombinant protein corresponding to the N-terminus domain of the human caveolin-1 molecule.
- 亚型:
IgG2a
- 形态:
Liquid
- 保存条件:
Store as concentrated solution. Centrifuge briefly prior to opening vial. Store at 4ºC.
- 克隆性:
Monoclonal
- 标记物:
Unconjugated
- 适应物种:
Human
- 保质期:
12 months from the shipping date of the product.
- 抗原来源:
Human
- 目录编号:
GTX01969
- 级别:
Primary Antibodies
- 库存:
Available
- 供应商:
GeneTex
- 宿主:
Mouse
- 应用范围:
WB, IHC-P
- 浓度:
Batch dependent (Please refer to the vial label for the specific concentration.)
- 靶点:
Caveolin 1
- 抗体英文名:
Caveolin 1 antibody [4D6]
- 抗体名:
Caveolin 1 抗体 [4D6]
- 规格:
500 μl
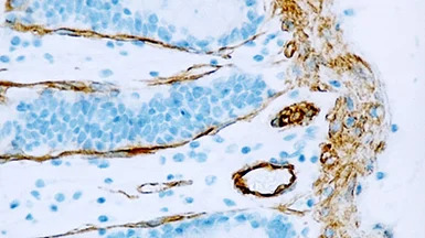
IHC-P analysis of normal human colon tissue using GTX01969 Caveolin 1 antibody [4D6]. Note cytoplasmic staining of smooth muscle and endothelium.
风险提示:丁香通仅作为第三方平台,为商家信息发布提供平台空间。用户咨询产品时请注意保护个人信息及财产安全,合理判断,谨慎选购商品,商家和用户对交易行为负责。对于医疗器械类产品,请先查证核实企业经营资质和医疗器械产品注册证情况。
文献和实验祝贺〖雅裕睿安〗成为Signalway Antibody(SAB)独家
祝贺〖上海雅裕 〗成为 Signalway Antibody 品牌 (SAB) 的独家总代理。 促销【 ABCD 】细则如下: 【 A 】 买两支 SAB 抗体免费获得 8G 优盘 活动时间:即日起,至 2011 年
Mapping of Protein Transduction Pathways with Fluorescent Microscopy
toxin (ambiguous marker for clathrin-, caveolin-, and flotillin-mediated, but also clathrin- and caveolin-independent endocytosis) to determine the role of the respective pathways during entry to cells, and to different intracellular targets
Detergent and Detergent-Free Methods to Define Lipid Rafts and Caveolae
that isolate buoyant lipid rafts and caveolae as well as caveolin antibody-based immunoisolation of detergent-insoluble membranes that selectively isolates caveolae and not lipid rafts. Also, a general method to disrupt lipid rafts and caveolae using β
技术资料暂无技术资料 索取技术资料







