相关产品推荐更多 >
万千商家帮你免费找货
0 人在求购买到急需产品
- 详细信息
- 技术资料
- 免疫原:
Recombinant protein
- 亚型:
IgG
- 形态:
Liquid
- 保存条件:
Store as concentrated solution. Centrifuge briefly prior to opening vial. For short-term storage (1-2 weeks), store at 4ºC. For long-term storage, aliquot and store at -20ºC or below. Avoid multiple freeze-thaw cycles.
- 克隆性:
Monoclonal
- 标记物:
Unconjugated
- 适应物种:
Human, Mouse, Rat
- 保质期:
12 months from the shipping date of the product.
- 抗原来源:
Human
- 目录编号:
GTX00988
- 级别:
Primary Antibodies
- 库存:
Available
- 供应商:
GeneTex
- 宿主:
Rabbit
- 应用范围:
WB, IHC-P, FACS
- 浓度:
1 mg/ml (Please refer to the vial label for the specific concentration.)
- 靶点:
Cullin 1
- 抗体英文名:
Cullin 1 antibody [JM72-30]
- 抗体名:
Cullin 1 抗体 [JM72-30]
- 规格:
100 μl
Various whole cell extracts (30 μg) were separated by 7.5% SDS-PAGE, and the membrane was blotted with Cullin 1 antibody [JM72-30] (GTX00988) diluted at 1:1000. The HRP-conjugated anti-rabbit IgG antibody (GTX213110-01) was used to detect the primary antibody.
Various whole cell extracts (30 μg) were separated by 7.5% SDS-PAGE, and the membrane was blotted with Cullin 1 antibody [JM72-30] (GTX00988) diluted at 1:500. The HRP-conjugated anti-rabbit IgG antibody (GTX213110-01) was used to detect the primary antibody.
Various whole cell extracts (30 μg) were separated by 7.5% SDS-PAGE, and the membrane was blotted with Cullin 1 antibody [JM72-30] (GTX00988) diluted at 1:1000. The HRP-conjugated anti-rabbit IgG antibody (GTX213110-01) was used to detect the primary antibody.
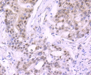
IHC-P analysis of human stomach cancer tissue section using GTX00988 Cullin 1 antibody [JM72-30].
FACS analysis of HeLa cells using GTX00988 Cullin 1 antibody [JM72-30].
Red : primary antibody
Black : unlabelled control
Dilution : 1:100
IHC-P analysis of mouse oviduct tissue section using GTX00988 Cullin 1 antibody [JM72-30].
IHC-P analysis of rat brain tissue section using GTX00988 Cullin 1 antibody [JM72-30].
风险提示:丁香通仅作为第三方平台,为商家信息发布提供平台空间。用户咨询产品时请注意保护个人信息及财产安全,合理判断,谨慎选购商品,商家和用户对交易行为负责。对于医疗器械类产品,请先查证核实企业经营资质和医疗器械产品注册证情况。
技术资料暂无技术资料 索取技术资料


![Cullin 1 antibody [JM72-30]](https://img1.dxycdn.com/2023/0711/451/6106825198874858761-14.jpg)



![P-Cadherin antibody [9V11]](https://img1.dxycdn.com/2023/0711/451/6106825198874858761-14.jpg!wh200)
![mTOR antibody [C1], Internal](https://img1.dxycdn.com/2023/0516/045/6925717576889828561-14.jpg!wh200)
