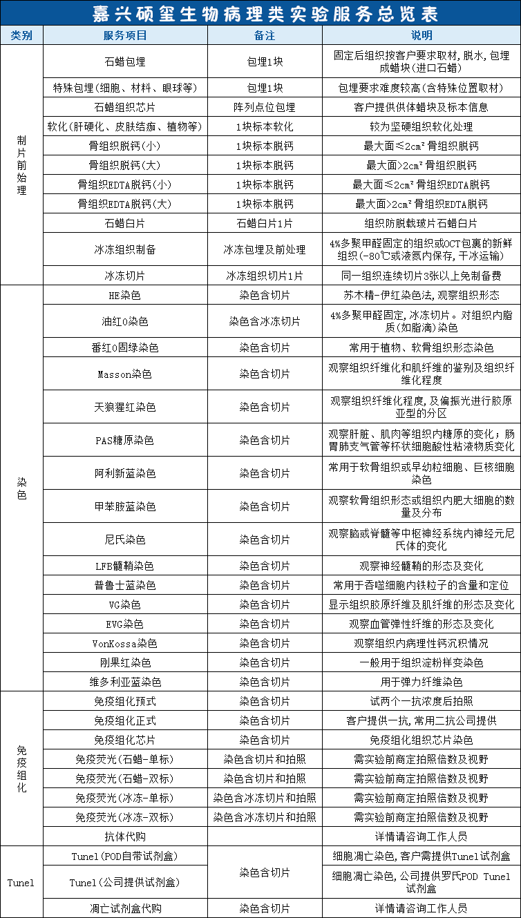
万千商家帮你免费找货
0 人在求购买到急需产品
- 详细信息
- 文献和实验
- 技术资料
- 提供商:
嘉兴硕玺生物有限公司
- 服务名称:
神经吻合手术
在显微镜下先检查断端,若其周围有瘢痕组织及骨片,应清除后再进行吻合术。缝合时注意勿使神经扭转,两断端对位应准 确。保证神经轴索能向前循吻合直线生长。神经对端吻合时一般用8-0的无创伤缝合线缝合神经鞘膜1~2针。若神经位于骨 管内且固定良好,可以不缝,只用血浆凝结固定。Fisch主张,用一个开窗的可吸收胶原管,将两边的断端套在管内对准, 胶原管的两端用代丙烯酸正丁酯黏合。

收费标准/服务周期/提供结果:
欢迎咨询详谈,我们会根据您的方案及需求制定详细的服务协议。
更多实验技术服务请浏览网站其他内容,或来电咨询!
做实验,找硕玺!您的科研生涯,我们一路相伴!


风险提示:丁香通仅作为第三方平台,为商家信息发布提供平台空间。用户咨询产品时请注意保护个人信息及财产安全,合理判断,谨慎选购商品,商家和用户对交易行为负责。对于医疗器械类产品,请先查证核实企业经营资质和医疗器械产品注册证情况。
文献和实验眩晕手术 本章所述的眩晕手术具体是指梅尼埃病的外科治疗,其基本原理和方法也适用于良性阵发性位置性眩晕和迷路外伤所造居的眩晕。 适应证 图1 乙状窦下陷 图2 颅中窝进路颞肌切口 图3 切开颞肌 图4 切开颞肌下的骨膜 图5 充分暴露颧弓根 图6 将骨瓣翻起取下骨片 图7 脑膜上抬位置(1)脑膜上抬过高(2)脑膜上抬趋低 图8 面神经定位标志 图9 切开硬脑膜 图10 示面神经和前庭神经的位置 图11 切断吻合支 图12 切断前庭
harrington手术 ⑴俯卧架 ⑵俯卧体位与切口 图1 体位安放 ⑴切平下关节突 ⑵安放上位钩 ⑶置入上位钩 图2 安放上位撑开钩 ⑴部分切除椎板范围 ⑵切除椎板 ⑶安放下位钩 ⑷置入下位钩 图3 安放下位撑开钩 图4 装置侧凸撑开器 图5 压缩棒 ⑴上下反向各上3个钩 ⑵安放上位横突钩 ⑶压缩钩勾住横突 ⑷安放下位椎板钩 ⑸置入椎板钩 图6 安放压缩钩 图7 特制压缩钩安装器 ⑴安放压缩棒 ⑵加压矫形 图8 安放压缩棒 图9 开口
神经外科手术的麻醉 图1 脑血流的调节 图2 颅内顺应性曲线 一、生理学基础 (一)脑血流量(cbf) 1、脑组织的供血来自颈内动脉(67%)和椎动脉(33%)。脑静脉血进入静脉窦离开颅腔后,经颈内静脉到上腔静脉。在静息状态时,成人的脑血流量占心输出量的15%-20%,平均为57ml/100g.min。 2、脑血流量取决于脑灌注区(cpp)和脑血管阻力(cvr);而cpp为平均动脉压(map)与颅内压(icp)之差
技术资料暂无技术资料 索取技术资料









